病例一:男,32岁



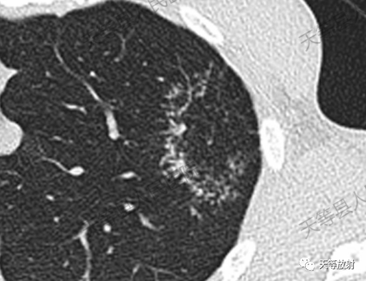
环礁岛征

树芽征

颈部淋巴结肿大。

诊断:肺结核。
病例二:男性,65岁。



诊断:隐源性机化性肺炎(COP)
影像学表现
胸部 CT 主要表现为反晕征为主的病变,肺门区及胸膜下磨玻璃样变及实变影,状如蘑菇,双肺受累。而国外文献COP的特征性 CT 表现为反晕症即磨玻璃样变周围包绕环形或新月型实变。反晕征又称环状珊瑚岛征,表现为磨玻璃影的周围环以细线样实变影,其在COP患者中并不多见,约占19%。实际上反晕征见于肺部疾病以及疾病的不同阶段,如结核、真菌、曲霉菌病、COP、腺癌及腺癌放疗后等。现认为反晕征更常见于肉芽肿性疾病,尤其在结核中最为常见,在非肉芽肿性疾病中常见于COP。
结核病反晕征的机理
反晕征是一种特殊的胸部 CT 征象,影像学显示中心低密度磨玻璃影,外周为高密度实变影环绕.
结核病形成“反晕征”的病理基础是疏密程度不同的小结节为干酪样肉芽组织,环壁结节密集,结节多为小叶中心结节或小叶间隔结节, 提示淋巴管或支气管播散, 可与其他病理形式肺结核同时存在,即可出现空洞、干酪性肺实变、纤维化钙化等。

![]()
隐源性机化性肺炎(COP)机理
肺组织在显微镜下见肺泡腔内纤维母细胞、肌纤维母细胞及泡沫细胞,较多疏松的纤维结缔组织沿肺泡腔延伸,间隔增厚,纤维组织增生。

侵 袭 性 真 菌 感 染:反晕征形成可能与肺组织梗死有关,伴外周环形实变区大量肺出血多于中心磨玻璃区域。内部呈网格样改变及外周环形实变影厚度大于 1cm 合并胸腔积液,则高度提示侵袭性真菌感染而不是 COP。

纵隔大细胞神经内分泌癌1例CT影像
张力性纵隔气肿影像表现及严重度分级
迅速增大的肺部结节,首先考虑良性,确诊需要肺穿
肺隔离症:易误诊为肺癌的占位性病变,肺穿刺禁忌!
肺段与肺内管道应用解剖
肺转移瘤的十种不典型CT表现
肺内淋巴结的CT表现特点及与病理对照
肺实变与肺不张的CT鉴别诊断
医生现身说法,这五种忙帮不得!
北大教授:要真正让医务人员有阳光体面的收入!医
为值夜班的医生护士鼓与呼:请给我们更多关注!
广东拟取消医院用药数量限制,满足患者多样性需求
博士、硕士入职就给精装房!又有医院不惜下血本招
历时7年之久,温医生宣判无罪!
重磅!四川发文:严禁限制医生多点执业
与真人医生诊断一致性达96%:AI医生应用前景广阔