作者:董治慧,贵州中医药大学;范光明,周楠,韦莎莎,杜明良,贵州中医药大学第二附属医院放射科
1.病例
女,38岁,20d前出现双眼视物变暗,左眼前黑影飘动,随眼球运动而变化。专科检查:双侧眼球运动正常,调节/集合功能欠佳,睑板腺开口处可见大量脂栓附着。双侧眼球的晶状体呈透明状,玻璃体呈点状浑浊。双眼的视盘颜色变红、隆起且边界不清,同时生理凹陷消失。
视网膜平伏,呈橘红色,动脉变细,反光增强,静脉迂曲紫暗扩张,可视范围内未见明显出血、

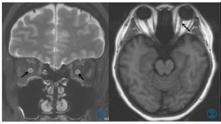
图1冠状面T2WI示双侧视神经鞘扩张。图2横断面T1WI示眼球后部变平,左侧视神经走形扭曲。
蝶鞍内见脑脊液信号,垂体受压变平而贴于鞍底(图3)。矢状窦前部不显影,双侧横窦局部变窄,显影浅淡(图4)。脑脊液检查:无色,清亮透明,脑脊液压为350mmH2O(1mmH2O≈0.0098kPa)。结合患者症状、体征及辅助检查最终诊断为特发性

图3矢状面T2WI示蝶鞍内见脑脊液信号,垂体受压变扁,紧贴鞍底,垂体上缘凹陷。图4MRV示矢状窦前部不显影,双侧横窦局部变窄,显影浅淡。
2.讨论
IIH是一种病因不明的以
多数首诊于眼科的患者表现为视功能障碍、体位性一过性视物模糊、双侧视乳头水肿,在弯腰或起床时出现,持续数秒后可完全自行缓解。长期增高的颅内压使鞍上池内的蛛网膜下腔经有缺陷的鞍隔孔向下疝入蝶鞍内,垂体受压变扁使其紧贴于鞍底,导致蝶鞍被大部分脑脊液填充,故在MRI表现为空蝶鞍。
眼球后壁巩膜变扁平多由视乳头水肿导致,在排除视神经炎、缺血性视神经病及视神经肿瘤等病因后多可认为是由IIH引起的,是诊断IIH特异性非常高的影像学征象。视神经走行迂曲是因为眼外肌和韧带等结构的固定作用,使视神经周围增高的脑脊液压力传导至视神经前端的球茎联合部时改变眼球后壁和视神经的形状来缓解压力的增高而造成的。
IIH患者静脉窦狭窄发生率较高,有学者认为颅内压的增高压迫静脉窦,引起静脉窦顺应性减低,从而出现窦壁凹陷而使静脉窦狭窄,增强MRI容积扫描联合MRV对颅内静脉窦病变具有良好的诊断价值。视神经鞘扩张的发生率仅次于空蝶鞍,跟其他IIH影像学表现相比,其诊断意义更大。视神经鞘扩张和颅内静脉窦狭窄诊断IIH有较高的敏感性和特异性。
目前,临床广泛应用的IIH诊断标准是由Friedman等于2013年公布的:视乳头水肿,除外展神经麻痹外,其余神经科查体正常,腰椎穿刺压力增高(颅内压≥200mmH2O)且脑脊液成分正常。影像学检查见视神经鞘扩张、静脉窦狭窄、空蝶鞍等表现,无颅内占位或结构性病变、脑积水等可能病因。本例患者的临床及影像学表现均符合这一诊断标准。
来源:董治慧,范光明,周楠,韦莎莎,杜明良.特发性颅内压增高症影像表现1例[J].中国临床医学影像杂志,2022,33(04):295-296.
纵隔大细胞神经内分泌癌1例CT影像
张力性纵隔气肿影像表现及严重度分级
迅速增大的肺部结节,首先考虑良性,确诊需要肺穿
肺隔离症:易误诊为肺癌的占位性病变,肺穿刺禁忌!
肺段与肺内管道应用解剖
肺转移瘤的十种不典型CT表现
肺内淋巴结的CT表现特点及与病理对照
肺实变与肺不张的CT鉴别诊断
医生现身说法,这五种忙帮不得!
北大教授:要真正让医务人员有阳光体面的收入!医
为值夜班的医生护士鼓与呼:请给我们更多关注!
广东拟取消医院用药数量限制,满足患者多样性需求
博士、硕士入职就给精装房!又有医院不惜下血本招
历时7年之久,温医生宣判无罪!
重磅!四川发文:严禁限制医生多点执业
与真人医生诊断一致性达96%:AI医生应用前景广阔