[病程描述]
性别:男,年龄:60岁,患者1年半前因咳嗽于当地医院查胸部CT示左肺下叶占位,行抗感染及对症治疗后症状缓解,未复查。半月余前出现发热,体温最高37.5℃,伴咳嗽,咳少量白色偶有黄色粘痰,左侧胸痛。










请选择答案
A、结核球
B、肺炎性假瘤
C、肺肉瘤样癌
D、肺错构瘤
正确答案是:C、肺肉瘤样癌;
[影像描述]
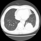
左肺下叶可见高密度肿块影,边界清晰,边缘不规则,左肺下叶支气管局部截断,增强后病灶边缘轻度强化,中心未见明显强化;左侧胸腔内可见液性密度影;纵隔内未见明确肿大淋巴结影。
[诊断思路]
(左下叶)肺肉瘤样癌(巨细胞癌),伴大片坏死
肺肉瘤样癌是一种少见的非小细胞肺癌,WHO将其分为5个亚型:多形性癌、梭形细胞癌、具巨细胞癌、癌肉瘤和肺肉瘤。主要见于老年患者,男多于女,临床症状与肿瘤生长部位及侵犯周围组织的情况有关,中央型较易侵犯支气管,症状往往出现较早。CT多表现为肺内单发肿块影,最大径一般大于5cm,周围型多于中央型,可跨叶生长;边缘光滑或清晰;毛刺征及胸膜牵拉症少见;坏死、空腔及分叶、支气管截断多见,坏死边界不清,可见坏死内强化灶,肺门及纵隔淋巴结转移多为环形强化。需要鉴别以下几种疾病:肺结核球呈圆形或类圆形,多数密度不均匀,周边或中央常可见钙化,病灶中心有时可见小空洞。病灶边缘清楚,部分边缘可呈浅分叶状,少数可见毛刺征或胸膜凹陷征,周围常可见卫星灶。增强检查病灶不强化或仅轻度强化。周围型错构瘤直径多在2.5cm以下,瘤体内可见斑点状或爆米花状钙化,部分病变有脂肪密度,多数病变边缘清楚、光滑,CT增强大多数病灶无明显强化。肺炎性假瘤呈圆形或类圆形高密度影,密度较均匀,边缘多清楚而光滑,少数可呈毛刺样改变,增强检查大多数肿块较显著均匀强化。
纵隔大细胞神经内分泌癌1例CT影像
张力性纵隔气肿影像表现及严重度分级
迅速增大的肺部结节,首先考虑良性,确诊需要肺穿
肺隔离症:易误诊为肺癌的占位性病变,肺穿刺禁忌!
肺段与肺内管道应用解剖
肺转移瘤的十种不典型CT表现
肺内淋巴结的CT表现特点及与病理对照
肺实变与肺不张的CT鉴别诊断
医生现身说法,这五种忙帮不得!
北大教授:要真正让医务人员有阳光体面的收入!医
为值夜班的医生护士鼓与呼:请给我们更多关注!
广东拟取消医院用药数量限制,满足患者多样性需求
博士、硕士入职就给精装房!又有医院不惜下血本招
历时7年之久,温医生宣判无罪!
重磅!四川发文:严禁限制医生多点执业
与真人医生诊断一致性达96%:AI医生应用前景广阔