病史:
男性,55岁。头部外伤后短暂意识丧失,头痛、恶心、呕吐3天。查体神经系统未见阳性体征。









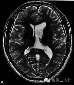
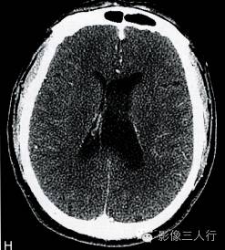
A.T2WI横断面;B.T1WI横断面;CFLAIR冠状面;D、E、F.增强横断面、矢状面、冠状面;G、H.CT平扫、增强;I.HE×100
影像学表现:
肿瘤呈类圆形,边界清楚,位于左侧脑室前角及室间孔区,左侧脑室前角、三角部及左侧脑室后角扩张积水。MRI平扫T2WI(图A)肿瘤呈稍高信号,内见小范围高信号区;T1WI(图B)肿瘤呈等信号,内见低信号区;冠状面水抑制相(图C)肿瘤呈稍尚信号,内部原长T1长T2区信号呈低信号;增强扫描(图D~F)肿瘤强化不明显;CT平扫(图G)左侧脑室前角类圆形、边界清楚、较均匀等密度肿块,增强扫描(图H)强化不明显。
手术所见:
切开胼胝体见半透明实质性肿物,大小约3.0cm×2.5cm×1.2cm,肿瘤位于左侧侧脑室内,瘤体与室管膜及室间隔关系密切。
病理结果:
送检脑组织内见致密的胶质细胞纤维基质中见簇状瘤细胞,瘤细胞形态一致,核分裂象少见,细胞核埋在胶质细胞纤维基质中,伴较小的囊腔形成。病理诊断:(左侧脑室)室管膜下瘤(相当于WHO I级)(图I)。
分析与讨论:
室管膜下瘤(subependymoma),也称为室管膜下室管膜瘤,亚室管膜瘤,室管膜下胶质瘤以及室管膜下星形细胞瘤等。为少见的缓慢生长的良性肿瘤,WHO分类属于室管膜肿瘤,I级,1945年由Scheinker首先发现并报道。该肿瘤组织学特征主要是由室管膜细胞和星形细胞构成。室管膜下瘤约占全部颅内肿瘤的0.2%~0.7%,可发生于任何年龄,大多在40~80岁,具有症状的常为小儿、年轻人,男性多见。室管膜下瘤生长缓慢,大多无明显症状,当肿瘤发生阻塞引起脑脊液循环障碍时,可出现相应的临床表现,头痛是室管膜下瘤最常见的临床表现,此外,还可出现头晕、呕吐等其他与网内压增高相关的症状和体征。本病可发生于脑室系统任何部位,主要见于4脑室及侧脑室,也可以发生于脑室系统外或旁的一些部位;侧脑室内室管膜下瘤靠近室间孔或透明隔。肿瘤边界清楚光滑、增强无或轻微强化是室管膜下瘤重要的影像学特征,也是鉴别诊断的重要依据。肿瘤CT平扫呈等密度,MRI T1WI为略低或等信号,T2WI为稍高信号,大部分侧脑室内肿瘤可见多发小囊变灶,增强扫描多无强化或轻微强化。本例诊断的关键在于观察肿瘤有无强化,室管膜下瘤无强化,从而可与脑室内其他肿瘤如室管膜瘤、胶质瘤及脑膜瘤等相鉴别。文献报道发生在4脑室内的室管膜下瘤钙化发生率较高,且增强扫描后不均匀强化,与室管膜瘤及其他脑室内肿瘤不易鉴别。与室管膜瘤不同,本病无侵袭性生长及沿脑脊液播散的特征,手术易完整切除,术后不易复发,预后较好。
鉴别诊断:
①室管膜瘤:儿童、中青年多见,成人多见于侧脑室三角区或体部。室管膜瘤常呈分叶状,通常较大,脑室外生长,有囊变、坏死,并常见致密性钙化,增强扫描明显强化。②室管膜下巨细胞星形细胞瘤:多见于青少年,伴有结节性硬化,临床上出现三联征(皮脂腺瘤、癫痫、智力低下)。③脑膜瘤:好发于成人,易发生在三角区,T2WI为稍高信号,边界清楚,增强扫描明显强化。④脉络丛乳头状瘤:脉络丛乳头状瘤主要见于小儿,好发于侧脑室三角区,外形不规则,T1WI常为较低信号(与脑脊液信号相近),T2WI为高信号,增强扫描肿瘤明显强化。
纵隔大细胞神经内分泌癌1例CT影像
张力性纵隔气肿影像表现及严重度分级
迅速增大的肺部结节,首先考虑良性,确诊需要肺穿
肺隔离症:易误诊为肺癌的占位性病变,肺穿刺禁忌!
肺段与肺内管道应用解剖
肺转移瘤的十种不典型CT表现
肺内淋巴结的CT表现特点及与病理对照
肺实变与肺不张的CT鉴别诊断
医生现身说法,这五种忙帮不得!
北大教授:要真正让医务人员有阳光体面的收入!医
为值夜班的医生护士鼓与呼:请给我们更多关注!
广东拟取消医院用药数量限制,满足患者多样性需求
博士、硕士入职就给精装房!又有医院不惜下血本招
历时7年之久,温医生宣判无罪!
重磅!四川发文:严禁限制医生多点执业
与真人医生诊断一致性达96%:AI医生应用前景广阔