病史
女,54岁,颈前肿物2年,伴吞咽困难2个月。查体:甲状腺双叶肿物,质韧实,边界欠清,双颈可触及多个淋巴结,质中,边界清,活动。







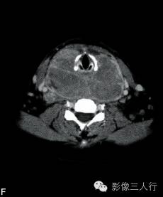
A~C.CT平扫横断面;D~F. CT增强横断面;G. HE×40
【影像学表现】
双侧甲状腺、颌下腺及咽淋巴环见多发结节融合状软组织影,边界不清,可见包膜,病灶密度欠均匀,内可见线样分隔,未见明显坏死及钙化,双颈各区可见大小不等的淋巴结,边界欠清,密度较均匀(图A~C)。增强横断面(图D~F)扫描双侧甲状腺、颌下腺及咽淋巴环病灶包膜及分隔可见明显强化,双颈淋巴结可见较明显强化。
【病理】
镜下见多量嗜酸性粒细胞及核大胞浆丰富的细胞弥漫性增生,部分核大细胞可见核沟,考虑朗格汉斯细胞组织细胞增生症。免疫组织化学:朗格汉斯细胞组织细胞CD1a( ),S-100( ),CD68( ),Mac387( ),Ki67(10% ),HMB45(-),CK(-)。结果:朗格汉斯细胞组织细胞增生症(图G)。
【分析与讨论】
朗格汉斯细胞组织细胞增生症是一组以朗格汉斯组织细胞异常增生和播散形成的疾病,光镜下肿瘤组织主要由增生的朗格汉斯细胞与不同数量的嗜酸性粒细胞、淋巴细胞组成。免疫组化表现为朗格汉斯细胞组织细胞CD1a( ),S-100( ),CD68( )。该病好发于婴幼儿和儿童,成人少见,可累及全身各处组织器官,其中以骨最常见。而本例为中年女性患者,病变侵犯甲状腺、颌下腺、咽淋巴环及双颈淋巴结。影像诊断要点:①甲状腺双叶、双侧颌下腺及咽淋巴环多发结节融合状软组织影,双颈各区可见大小不等的淋巴结,边界欠清,密度较均匀,未见明显坏死及钙化。②增强扫描甲状腺、颌下腺及咽淋巴环病灶包膜及分隔可见明显强化,双颈淋巴结可见较明显强化。③临床表现:婴幼儿多见,也可见于成年人,病史较长,临床症状相对较轻,缺乏特异性。治疗方法有手术、化疗、放疗或联合治疗,对于单个器官受累的患者以手术治疗必要时辅助放射治疗为主,对于多处器官和部位受累患者以化疗为主。
【鉴别诊断】
①淋巴瘤:头颈部淋巴瘤可以广泛累及颈部淋巴结、咽淋巴环及甲状腺、颌下腺等结外非淋巴组织,受侵犯组织密度及信号一般较均匀,坏死与钙化少见,与本病鉴别有一定困难,但是淋巴瘤受累淋巴结一般较大,边界较清楚,有相互融合趋势,而本例朗格汉斯细胞组织细胞增生症受累淋巴结较小,边界欠清楚,相互融合少见。②甲状腺癌并淋巴结转移:表现为甲状腺一侧或双侧结节状或团块状病灶,边界不清楚,病灶内密度不均匀,坏死及钙化较多见,增强扫描可见明显不均匀强化,颈部转移淋巴结增强后明显强化。③结节性甲状腺肿:甲状腺一侧或双侧增大,可见单个或多个结节状病变,边界清楚,可见囊变坏死及钙化,增强后可见明显不均匀强化。一般不伴有颈部淋巴结肿大。
纵隔大细胞神经内分泌癌1例CT影像
张力性纵隔气肿影像表现及严重度分级
迅速增大的肺部结节,首先考虑良性,确诊需要肺穿
肺隔离症:易误诊为肺癌的占位性病变,肺穿刺禁忌!
肺段与肺内管道应用解剖
肺转移瘤的十种不典型CT表现
肺内淋巴结的CT表现特点及与病理对照
肺实变与肺不张的CT鉴别诊断
医生现身说法,这五种忙帮不得!
北大教授:要真正让医务人员有阳光体面的收入!医
为值夜班的医生护士鼓与呼:请给我们更多关注!
广东拟取消医院用药数量限制,满足患者多样性需求
博士、硕士入职就给精装房!又有医院不惜下血本招
历时7年之久,温医生宣判无罪!
重磅!四川发文:严禁限制医生多点执业
与真人医生诊断一致性达96%:AI医生应用前景广阔