病史:
女性,38岁。反复四肢抽搐半年余。实验室检查未见异常。
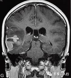
图1右颞叶横纹肌样脑膜瘤








A.T1WI横断面;B、C.T2WI横断面;D、E、F、G.增强横断面、矢状面、冠状面;H.HE×100
影像学表现:
图1A:MRI T1WI示,右侧颞叶不规则形肿块,信号欠均匀,为稍低信号与小斑片状稍高信号混杂。其累及颞叶灰白质,界限欠清、边缘不整,大小约4.1cm×4.3cm×5.1cm。邻近脑沟脑裂变浅变平,周边脑实质受压。图1B、C:T2WI示,右颞不规则形肿块,信号欠均匀,为稍高信号与小斑片状略低信号混杂。灶周见带状高信号脑水肿。图1D~G:T1WI C示,右侧颞叶肿块呈不均匀的多个结节块状明显强化,邻近脑膜为线条状强化、增厚。
术中所见:
术中见右颞叶脑实质内肿瘤呈鱼肉样,边界欠清,沿正常脑组织与肿瘤大致边界电灼蛛网膜,分块切除肿瘤,冰冻“胶质瘤I-Ⅱ级”。在显微镜下切除,直至白色质软的水肿组织。肿瘤呈灰白色鱼肉样,大部分质韧,部分呈灰红色、质软。
病理结果:
石蜡:恶性肿瘤。CK( ),EMA( ),Vimentin( ),GFAP(—/±)重复3次,Nestin胞浆( ),EGFR(±),PR少数( ),CEA、NF、MBP、CD57、SMA、Des、S-100、pl6及LCA均呈(―)。Ki-67 24%。病理报告:(大脑右颞叶)横纹肌样脑膜瘤(WHOID级)。图1H:瘤细胞胞浆丰富,嗜酸性,圆形或多角形,大小不等,核居中或偏位,可见病理性核分裂象。肿瘤侵犯脑实质及软脑膜。
分析与讨论:
脑膜瘤是起源于脑膜及脑膜间隙的衍生物,它们可能来自硬膜成纤维细胞和软脑膜细胞,也可以发生在任何含有蛛网膜成分的地方,常见部位:矢状窦旁、鞍结节、筛板、海绵窦、桥小脑角、小脑幕等部位。而位于脑窦质内的则非常少见,这种脑膜瘤可能是起源于脑裂内蛛网膜细胞或异位的脑膜细胞。由于脑实质内脑膜瘤偏离了其好发部位,加之其影像学无特异性,极易误诊为胶质瘤。
对于脑实质内占位性病变,CT及MRI显示界限清楚。CT增强后可见到明显供血血管、且合并有明显低密度区的,应考虑到脑膜瘤的可能性。这种低密度区大多数为肿瘤的囊变、坏死区,少数为胶原纤维区、陈旧出血区或含有较多的脂肪沉积,这种低密度区在增强后往往无明显强化,少数病例还可显示肿瘤边缘有一薄层的更明显强化区,可能为肿瘤包膜所含血管较丰富和包绕在肿瘤周围的肿瘤静脉或引流静脉较多之故。
鉴别诊断:
①胶质瘤:为脑内肿瘤,位于脑实质深部,与正常脑组织分界模糊,形态多不规则,实质部分多呈混杂信号且强化不均匀,囊变、坏死、出血多见,灶周环绕大片脑水肿,增强扫描其强化不均匀且强化程度不如脑膜瘤明显。无粗短不规则硬膜尾征,脑外肿瘤的继发征象较少见。②颅内转移瘤:常有其他部位原发肿瘤史,常多发,位于灰白质交界处,典型者表现为小病灶,灶周水肿明显。③血管外皮细胞瘤:多呈分叶状,瘤内常有坏死囊变,密度及信号特点与囊性脑膜瘤相似,与之鉴别困难,但血管外皮细胞瘤一般无钙化,如有钙化支持囊性脑膜瘤,并且血管外皮细胞瘤周围常可见到流空血管影。④脑膜转移瘤:硬膜转移可显示颅骨下方曲线状强化,并不累及脑回,软脑膜转移可引起沿皮层表面的线状或结节状强化。
纵隔大细胞神经内分泌癌1例CT影像
张力性纵隔气肿影像表现及严重度分级
迅速增大的肺部结节,首先考虑良性,确诊需要肺穿
肺隔离症:易误诊为肺癌的占位性病变,肺穿刺禁忌!
肺段与肺内管道应用解剖
肺转移瘤的十种不典型CT表现
肺内淋巴结的CT表现特点及与病理对照
肺实变与肺不张的CT鉴别诊断
医生现身说法,这五种忙帮不得!
北大教授:要真正让医务人员有阳光体面的收入!医
为值夜班的医生护士鼓与呼:请给我们更多关注!
广东拟取消医院用药数量限制,满足患者多样性需求
博士、硕士入职就给精装房!又有医院不惜下血本招
历时7年之久,温医生宣判无罪!
重磅!四川发文:严禁限制医生多点执业
与真人医生诊断一致性达96%:AI医生应用前景广阔