【病史】男性,腹胀。


问题1.如果存在肠梗阻,最可能的部位为?
A.脾曲
B.肝曲
C.小肠远端
D.小肠近端
E.乙状结肠

注意右下腹弯曲串珠样密度影,你的考虑可能为?


2.横结肠扩张的原因为?
A.肠套叠
B.黏连
C.憩室
D.同心圆病变
E.未见病因
3.X线片弯曲串珠样密度影最可能为?
A.恶性病变治疗后
B.陈旧性穿孔
C.肠管管腔
D.陈旧性肉芽肿感染
E.医源性残留
【答案】1.A 2.E 3.C
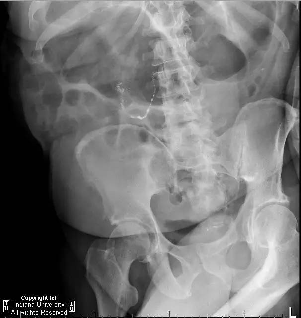
此为1周后复查图片。

【影像学表现】右侧腹部可见曲线样不透亮区,1周后位置有变化(似进入盲肠)。横结肠显著扩张、充气。CT上扩张原因不明,无明确的梗阻证据。
【鉴别诊断】
【诊断】阑尾内对比剂充填
Contrast filledappendix
【要点】
纵隔大细胞神经内分泌癌1例CT影像
张力性纵隔气肿影像表现及严重度分级
迅速增大的肺部结节,首先考虑良性,确诊需要肺穿
肺隔离症:易误诊为肺癌的占位性病变,肺穿刺禁忌!
肺段与肺内管道应用解剖
肺转移瘤的十种不典型CT表现
肺内淋巴结的CT表现特点及与病理对照
肺实变与肺不张的CT鉴别诊断
医生现身说法,这五种忙帮不得!
北大教授:要真正让医务人员有阳光体面的收入!医
为值夜班的医生护士鼓与呼:请给我们更多关注!
广东拟取消医院用药数量限制,满足患者多样性需求
博士、硕士入职就给精装房!又有医院不惜下血本招
历时7年之久,温医生宣判无罪!
重磅!四川发文:严禁限制医生多点执业
与真人医生诊断一致性达96%:AI医生应用前景广阔