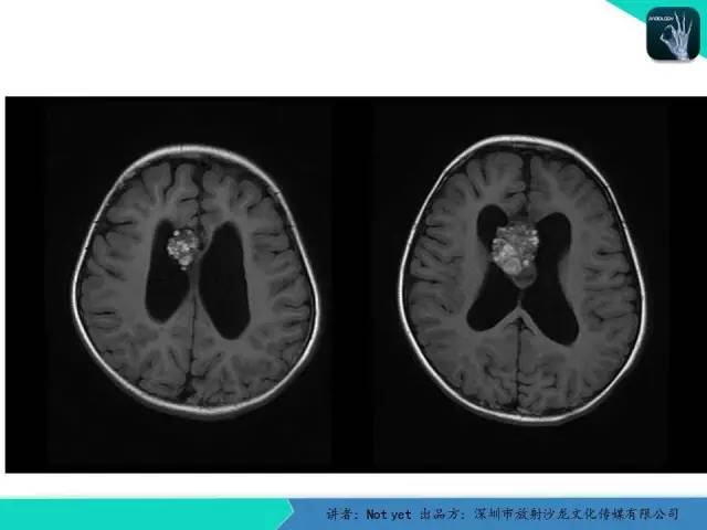
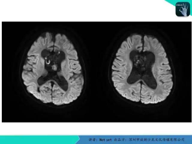
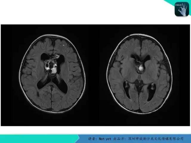
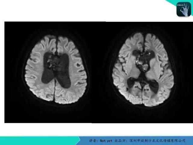
【病例】脑室内脉管瘤1例CT及MR影像诊断与鉴别

发布时间:2022-10-24   来源:未知    
×
织梦二维码生成器

【病例】脑室内脉管瘤1例CT及MR影像诊断与鉴别

【病例】脑室内脉管瘤1例CT及MR影像诊断与鉴别

【病例】脑室内脉管瘤1例CT及MR影像诊断与鉴别

【病例】脑室内脉管瘤1例CT及MR影像诊断与鉴别

【病例】脑室内脉管瘤1例CT及MR影像诊断与鉴别

【病例】脑室内脉管瘤1例CT及MR影像诊断与鉴别

【病例】脑室内脉管瘤1例CT及MR影像诊断与鉴别

【病例】脑室内脉管瘤1例CT及MR影像诊断与鉴别

【病例】脑室内脉管瘤1例CT及MR影像诊断与鉴别

【病例】脑室内脉管瘤1例CT及MR影像诊断与鉴别

【病例】脑室内脉管瘤1例CT及MR影像诊断与鉴别

【病例】脑室内脉管瘤1例CT及MR影像诊断与鉴别

【病例】脑室内脉管瘤1例CT及MR影像诊断与鉴别

【病例】脑室内脉管瘤1例CT及MR影像诊断与鉴别

【病例】脑室内脉管瘤1例CT及MR影像诊断与鉴别

【病例】脑室内脉管瘤1例CT及MR影像诊断与鉴别

【病例】脑室内脉管瘤1例CT及MR影像诊断与鉴别

【病例】脑室内脉管瘤1例CT及MR影像诊断与鉴别

【病例】脑室内脉管瘤1例CT及MR影像诊断与鉴别

【病例】脑室内脉管瘤1例CT及MR影像诊断与鉴别

【病例】脑室内脉管瘤1例CT及MR影像诊断与鉴别

【病例】脑室内脉管瘤1例CT及MR影像诊断与鉴别

【病例】脑室内脉管瘤1例CT及MR影像诊断与鉴别

【病例】脑室内脉管瘤1例CT及MR影像诊断与鉴别

图说天下

医学图库
医学资讯
医学前沿
病例讨论