作者:王玉伟 潍坊市益都中心医院
本文为作者授权医脉通发布,未经授权请勿转载。
1.入院、手术
时间08:01。
这是标准的交班时间,心内科医生王乂刚在队列中站定,就听到护士站传来的声音:“王大夫,急性心梗!”闻言,王乂立即冲向病房。
患者躺在急诊科的转运平车上,手捂胸口、表情痛苦。目前有的检查结果只有一份心电图:急性下壁ST段抬高型心肌梗死(图1)。急诊科大夫看到心电图后,立即将患者送往了心内科。

图1. 入院心电图
在安排急查血的同时,王乂询问了病史:
患者85岁男性,往有冠心病、高血压病史10年,曾三次行冠脉造影检查,先后置入7枚支架,最后一次手术已是5年之前。入院前3小时,患者突然出现胸闷痛,放射至咽喉,持续不缓解。
毫无疑问,这位患者冠状动脉基础非常差,已经置入的6枚支架就是证据。即便是术后药物治疗,发作心绞痛,甚至心梗和猝死的概率都很高。
患者生命体征平稳,血压146/81mmHg,心率76次/分,心肺听诊大致正常。但患者持续胸痛不缓解,再加上心电图的“墓碑样”ST段改变,这让王乂丝毫不敢大意,立即安排住院医师补充询问病史(婚育史、家族史等)、立即书写并打印各种文书(授权委托书、病危告知书、手术同意书、手术三方核查表、高值耗材同意书、医保外付费项目同意书……)。王乂则向患者家属交代病情,告知家属当务之急是立即手术。
获得患者同意后,王乂打电话通知导管室安排手术,给患者开具“负荷量”药物,还不忘提醒住院医师“家属签字后一定要按手印,签字时间具体到分钟,不能每张的签字时间都一样,该打钩的地方一定要打钩,签完快去写入院记录……”
琐碎、繁杂。
怎么跟电视上的医生不一样呢?屏幕上的他们潇洒利落,现实中的王乂一地鸡毛!
好在患者儿女都非常配合,立即签字按手印,并表示配合院方的一切治疗。
完成术前准备后,患者被送往导管室。
2.造影、骤停
时间:08:40
王乂刚到介入科就遭到值班人员的嘲讽:“王叉,又是急诊手术,这次不会还是‘MINOCA’吧?”
王乂没搭理,赶紧去换衣服。
当王乂换好了衣服,就听到外面的声音:“王叉,你这患者血压不高啊!”
王乂回想,入院血压多少来着,146/81mmHg,现在呢——90/50mmHg,这是要坏!
王乂立即上台手术,并告诉助手准备抢救用品。
时间:8:49
冠脉造影完成,前降支(LAD)近段90%弥漫狭窄,前向血流TIMI0级;回旋支(LCX)硬化,前向血流TIMI1-2级。右冠脉(RCA)近段75%狭窄、中段闭塞,前向血流TIMI0级。(图2)。

图2. 左冠造影结果
造影过程中,患者持续胸痛,透视可见患者心脏搏动无力,血压还在进一步下降。造影刚要结束,患者突然意识丧失,心电监护滴滴报警,提示室性心动过速,血压测不出、脉搏触不及。
“无脉室速,立即按压,准备除颤!”王乂开始咆哮。
电除颤后患者心脏停搏,呼吸逐渐减弱。
“继续按压,球囊辅助,准备插管!”
突如其来的病情恶化,给整个手术室带入了紧张的气氛。介入科的护师、等待上台的医生都参与抢救,实在搭不上手的就在旁观,还有人在旁出谋划策。
有人说:“这种高龄心梗猝死风险很高。”
有人说:“这下可摊上事儿了。”
有人说:“下壁心梗、罪犯血管,应该先处理右冠。”
王乂听力极佳,努力过滤掉这些“好言相劝”,他心里明白,心脏按压的同时,还需继续介入手术,只有及时开通闭塞血管,才能挽救患者的生命。
王乂对助手说:“跟家属谈话,二次签字,签耗材同意书!”
几分钟后,助手回来:“王哥,家属同意手术,决定搏一下!”
王乂身边又有人小声嘀咕:“都这样了还不放弃,小心‘人财两空’。”
王乂哼了一声,说到:“那我今天就让你知道什么是奇迹!”
3.抉择、支架
时间09:07
在按压的同时完成手术已是不易,选择正确的手术顺序尤为重要。生死就在一念之间,王乂的选择超乎在场所有人的意料,他要先处理LAD!
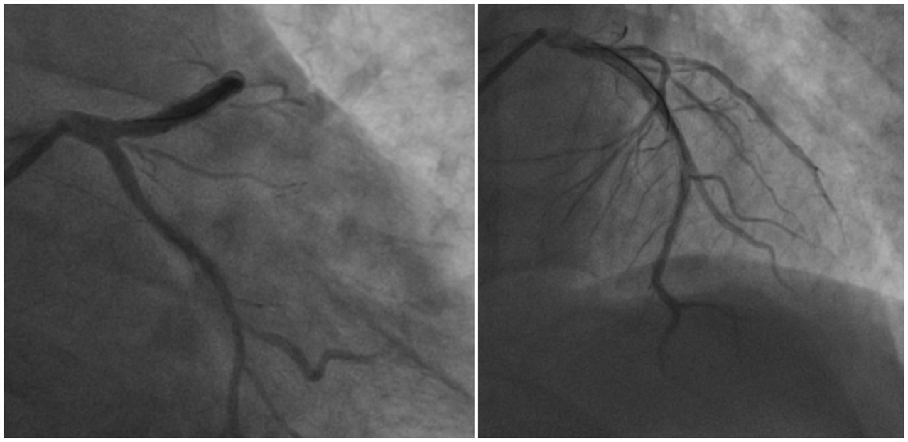
“王哥,这是下壁心肌梗死,右冠闭塞是罪犯血管啊。”助手有些紧张的问“这我能不知道?!”王乂的声音不大,但是有些吓人,尤其是那双眼睛,快要喷出火来。一时间,再没人敢说话,只看到王乂不断操作:LAD病变处2.0*15mm球囊以12atm预扩张,造影后可见残狭减轻,血流改善,LCX血流也同时改善,均达TIMI3级。将3.5*14mm支架至LAD病变处以16atm扩释,造影后未见明显残余狭窄及夹层,前向血流TIMI3级。(图3)

图3. 左冠术后状况
此时,患者血压逐渐升高、心率恢复。
“啊!”随着患者开口的一句呻吟,大家才从石化的过程中苏醒了过来。
“先别动,您还在手术台上呢。” 助手连忙安慰,话语中带着一丝颤抖,身上的衣服已经湿透。
再处理RCA,王乂就从容了很多:RCA两支架间次全闭塞,送2.0*15mm球囊至远端病变处以12atm预扩,造影可见残狭减轻,PD近段90%狭窄,2.0*15mm球囊12atm扩张PD近段,造影血流减慢,冠脉应用替罗非班15ml、尼可地尔400μg后血流TIMI3级。再送3.0*14mm支架至RCAp病变处以18atm扩释,前向血流TIMI3级。(图4)

图4.右冠术后状况
手术结束,众人终于可以松一口气,王乂看着患者离开的背影,想高举两只手指比个胜利,却感到手有些僵硬。想说一句“这就是奇迹”,但嗓子仿佛被堵住了,声音有些含混。想清一清嗓子,结果一阵风吹在湿透的后背后上,豪言壮语都化成了一个寒颤。
4.解释、康复
时间09:50
当王乂回到病房,患者已经由同事们接手。急查血的结果已经回报,cTnT 454ng/L(0-14 ng/L),BNP 207.3pg/mL(<100 pg/mL), MYO 509.1ng/ml(28-72 ng/ml),CK-MB 13.45ng/ml(0-4.87ng/ml),血钾 3.4mmol/L。复查心电图见下壁导联ST段回落(图5)。

图5.术后心电图
患者目前神志清楚,胸痛症状已经缓解,只是深呼吸的时候会有前胸疼痛,考虑与术中按压相关。患者血压99/66mmHg,心率80次/分,双肺无啰音,予以补液支持。
看到患者病情趋于平稳,助手也说出了心中疑问:“咱们的患者下壁心梗,从心电图入手就可以推测RCA梗死相关动脉,为什么不先处理RCA病变。如果一开始就对RCA造影、然后直接介入处理,等处理完之后再完成左冠的造影和处理,会不会节省时间、尽快血运重建?”
王乂解释道:“优先处理梗死相关动脉是常规思路,但也要分析术中状况、因地制宜。发现下壁心梗就直接介入RCA的方法有些莽撞,单纯造影本身用不了多少时间,何况任何一根冠脉病变都可引起下壁心肌梗死,把握全局总比管中窥豹更加安全。咱们的患者确实有RCA闭塞,但是患者从发病到住院,这3个小时内血压一直偏高,术前患者突然出现血压降低,造影时可见左室动度减低,随即出现室速,病情恶化显然是LAD病变相关。而且,从供血部位的重要性、对心脏灌注的影响等多方面衡量,LAD的重要程度远胜于RCA。当处理LAD病变后,LCX血流也同时改善,患者血压也上升。先保住左心室,才能保住整个心。”
助手好像明白了王乂的用意,继续投入到工作中。
经过药物治疗,患者病情也逐渐平稳。复查心脏标志物,肌钙蛋白升高至cTnT 2153ng/L,BNP 293.9pg/mL,心电图可见下壁T波倒置(图6),其后多次复查cTnT呈下降趋势,符合心肌梗死后转归。最终,患者康复出院,继续药物治疗。

图6.第二日心电图
最后,向各位在手术及抢救中挺身而出的同事们致以最崇高的敬意!
参考文献:
[1]曹国慧, 冯惠平. 体表心电图判定急性下壁心肌梗死罪犯血管的相关性研究[J]. 心血管病学进展, 2021, 42(10): 904-907.
[2]倪红林, 张国强, 夏征岚, 等. 心电图判定急性ST段抬高型心肌梗死罪犯血管的临床价值[J]. 心电与循环,2 021, 40(2): 175-178.
纵隔大细胞神经内分泌癌1例CT影像
张力性纵隔气肿影像表现及严重度分级
迅速增大的肺部结节,首先考虑良性,确诊需要肺穿
肺隔离症:易误诊为肺癌的占位性病变,肺穿刺禁忌!
肺段与肺内管道应用解剖
肺转移瘤的十种不典型CT表现
肺内淋巴结的CT表现特点及与病理对照
肺实变与肺不张的CT鉴别诊断
医生现身说法,这五种忙帮不得!
北大教授:要真正让医务人员有阳光体面的收入!医
为值夜班的医生护士鼓与呼:请给我们更多关注!
广东拟取消医院用药数量限制,满足患者多样性需求
博士、硕士入职就给精装房!又有医院不惜下血本招
历时7年之久,温医生宣判无罪!
重磅!四川发文:严禁限制医生多点执业
与真人医生诊断一致性达96%:AI医生应用前景广阔