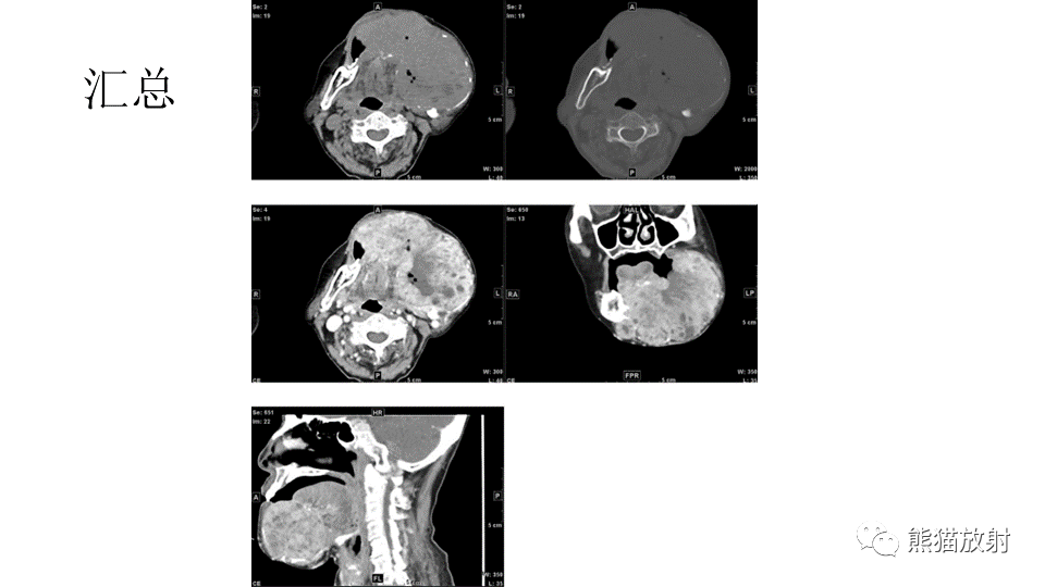
下颌骨成釉细胞瘤2例CT

发布时间:2022-10-20   来源:未知    
×
织梦二维码生成器

【病例】下颌骨成釉细胞瘤2例CT-1

【病例】下颌骨成釉细胞瘤2例CT-2

【病例】下颌骨成釉细胞瘤2例CT-3

【病例】下颌骨成釉细胞瘤2例CT-4

【病例】下颌骨成釉细胞瘤2例CT-5

【病例】下颌骨成釉细胞瘤2例CT-6

【病例】下颌骨成釉细胞瘤2例CT-7

【病例】下颌骨成釉细胞瘤2例CT-8

【病例】下颌骨成釉细胞瘤2例CT-9

【病例】下颌骨成釉细胞瘤2例CT-10

【病例】下颌骨成釉细胞瘤2例CT-11

【病例】下颌骨成釉细胞瘤2例CT-12

【病例】下颌骨成釉细胞瘤2例CT-13

【病例】下颌骨成釉细胞瘤2例CT-14

【病例】下颌骨成釉细胞瘤2例CT-15

【病例】下颌骨成釉细胞瘤2例CT-16

【病例】下颌骨成釉细胞瘤2例CT-9

【病例】下颌骨成釉细胞瘤2例CT-17

【病例】下颌骨成釉细胞瘤2例CT-18

【病例】下颌骨成釉细胞瘤2例CT-19

【病例】下颌骨成釉细胞瘤2例CT-20

【病例】下颌骨成釉细胞瘤2例CT-21

【病例】下颌骨成釉细胞瘤2例CT-22

【病例】下颌骨成釉细胞瘤2例CT-23

【病例】下颌骨成釉细胞瘤2例CT-24

【病例】下颌骨成釉细胞瘤2例CT-25

【病例】下颌骨成釉细胞瘤2例CT-26

【病例】下颌骨成釉细胞瘤2例CT-27

【病例】下颌骨成釉细胞瘤2例CT-28

【病例】下颌骨成釉细胞瘤2例CT-29

【病例】下颌骨成釉细胞瘤2例CT-30

【病例】下颌骨成釉细胞瘤2例CT-31

【病例】下颌骨成釉细胞瘤2例CT-32

图说天下

医学图库
医学资讯
医学前沿
病例讨论