男性,34岁。
病人主诉:胸闷1周
病人体征:T36.4℃、BP130/80mmHg,神清,口唇无紫绀。颈静脉无怒张。胸廓无畸形及胸壁压痛,两肺呼吸音粗,未闻罗音。心界不扩大,未闻早搏或房颤,各瓣膜听诊区未闻及收缩期和舒张期杂音。腹平软,无压痛,肝脾未及,腹水症(-),肠鸣音存在。双下肢无水肿。
临床诊断:1、(J98.414)肺部感染 2、(J02.900×004)咽炎
病人病史:病人长期慢性咽炎症状。常常熬夜。


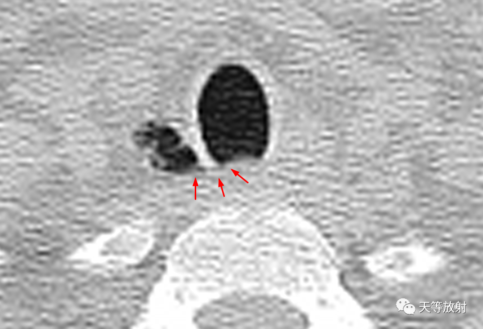
上图:胸廓入口处气管旁纵隔内局限含气影,复查片显示含气影内见细小分隔,囊影内壁较光整。

上图:CT值囊影与气管内气体CT值相同,为气体密度影。



薄层CT并放大观察,胸廓入口处气管旁纵隔内局限含气影,可见细线样低密度影与气管交通。


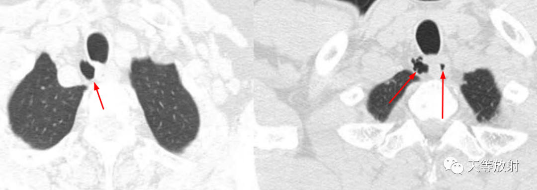
冠状位及矢状位观察,囊影位于胸廓入口右侧旁。
气管憩室
气管憩室指的是由于各种原因所导致气管局部薄弱处膨出的一种良性病变,同时,也是累及气管并突出于气管腔外的囊性病变,这一疾病往往在患者查体或者是疾病 CT 检查时被发现,患者并无明显和典型的临床症状[1] 。
气管憩室是临床较为常见的一种良性病变,根据患者发病原因的不同可以将其分为原发性气管憩室和继发性气管憩室,其中原发性气管憩室比较少见,主要是因为先天性气管壁局部缺陷引起的气管壁内肌肉和弹力纤维发育不全。
继发性气管憩室大多是因为器官或支气管吻合术、外伤以及慢性支气管炎、支气管扩张等气管内压增高性疾病所引起的。
MSCT 的典型影像学表现:
气管旁与气管连接紧密且囊壁光整,内可能会由分隔的含气囊腔,可见裂隙样通道与气管相通。

文献病例:气管旁憩室,细线样密度影与气管相连通。

上图:文献病例,气管憩室,内见分隔影。

上图,气管憩室,有一较短细的管道相通,类似小蝌蚪样改变。
鉴别诊断
1、气管囊肿,表现为气管附近囊状水样密度影,几乎不与气管相通,而气管憩室为气体密度影,与气管有交通。
2、食管憩室,其表现为食管局部囊袋状膨出,囊袋与食管相连,内有食物或者是气体的存留;
3、纵膈气肿,表现为纵膈软组织间隙内散在条、片状密度影,并不形成囊肿,可伴气胸等症状。
参考文献:
[1]张峰,牛磊,陈璇.气管憩室多层螺旋 CT 的影像表现[J].实用医学影像杂志.2016,17(05):442-443.
[2]郑许强,叶筱,黄婷,廖呈俊.多层螺旋 C T 在诊断气管憩室中的应用价值[J].中外医疗,2018,15.191-193.
纵隔大细胞神经内分泌癌1例CT影像
张力性纵隔气肿影像表现及严重度分级
迅速增大的肺部结节,首先考虑良性,确诊需要肺穿
肺隔离症:易误诊为肺癌的占位性病变,肺穿刺禁忌!
肺段与肺内管道应用解剖
肺转移瘤的十种不典型CT表现
肺内淋巴结的CT表现特点及与病理对照
肺实变与肺不张的CT鉴别诊断
医生现身说法,这五种忙帮不得!
北大教授:要真正让医务人员有阳光体面的收入!医
为值夜班的医生护士鼓与呼:请给我们更多关注!
广东拟取消医院用药数量限制,满足患者多样性需求
博士、硕士入职就给精装房!又有医院不惜下血本招
历时7年之久,温医生宣判无罪!
重磅!四川发文:严禁限制医生多点执业
与真人医生诊断一致性达96%:AI医生应用前景广阔