男,50岁,发现盆腔包块一月,无明显触痛,不伴发热。






















小编留言:每天的病例都需要您的思考才会有更多的收获,同时分享到朋友圈和自己的小伙伴们多交流交流!病理结果就在下边,但请记住:多一份思考,多一份收获!
———-♀【病例讲堂】分割线♀———
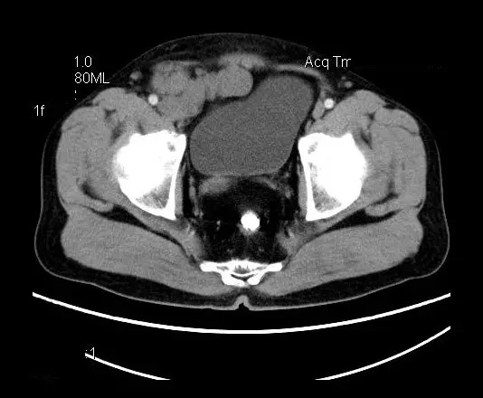
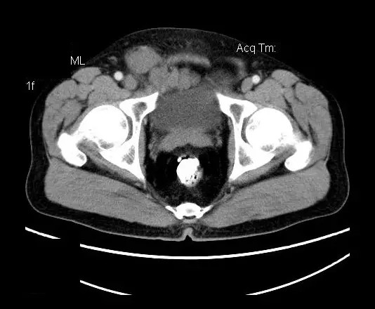
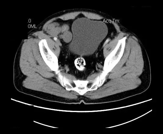
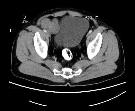
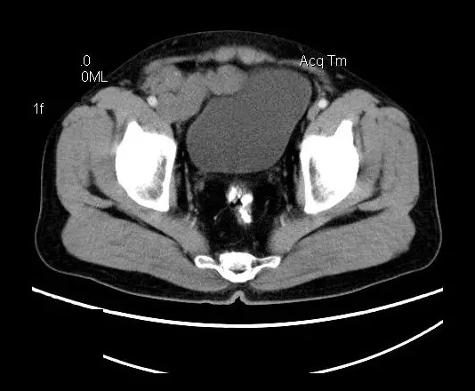
【影像表现】
盆腔右前侧及邻近腹股沟区可见多发大小不等的聚集生长的结节影,病灶呈软组织密度,边缘尚规整,分界尚清,增强扫描可见不均匀强化。膀胱局部受压,盆腔未见明显肿大淋巴结影。
【病理结果】
“盆腔”多发性神经鞘瘤
【鉴别诊断】
1、与腹膜后神经纤维瘤鉴别,病变沿神经走行的圆形或不规则形软组织肿块,缺乏包膜,但境界清楚,变性少见,偶可见囊变或出血;病灶内胶原和黏液成分混杂,增强扫描多呈不均匀强化。
2、与间叶组织肿瘤鉴别,如实体型脂肪肉瘤、平滑肌肉瘤、恶性纤维组织细胞瘤等。肉瘤一般边缘不规则常有周边侵犯,密度/信号更不均匀,多发生坏死而非囊变,囊变形态规则且内壁光整;坏死区形态不规则且内壁凹凸不平,其更富血供而强化明显。
【讨论】
神经鞘瘤又称雪旺细胞瘤,由Virchow于1908年首次描述,可见于任意部位周围神经鞘膜组织。多发于头颈部,纵隔或上肢,发生在腹膜后很少,约占0.5%~3%,发生于盆腔更少,盆腔内一般多发生于骶前间隙及腰骶椎旁区,偶尔发生于盆壁、膀胱及肠道壁。好发年龄为20~60岁,男女基本相等。肿瘤一般生长缓慢,临床症状主要为肿瘤占位效应引起的症状或偶尔发现。
神经鞘瘤显微镜下主要由AntoniA区和Antoni B区按不同比例构成,也可主要只含某种成分。免疫组化S-100蛋白多为阳性反应。肿瘤易发生退变(囊变,出血及钙化)
影像学表现
盆腔神经鞘瘤的影像学表现主要取决于肿瘤本身细胞不同组成分布及排列(Antoni A区与B区不同比例)及肿瘤是否发生退变所致。Antoni A 区由密集的梭行细胞构成,细胞核排列为栅栏状或漩涡状。Antoni B区瘤细胞稀疏,网状排列,基质含水量高,常发生囊变或出血。
平扫影像表现:Antoni A区较多病灶,在CT上呈等或略高密度影,T1WI等信号、T2WI略高信号,AntoniB区较多病灶,CT多为水样低密度、T1WI低信号、T2WI明显高信号。
增强影像表现:神经鞘膜肿瘤增强后,由于Antoni A区与B区以不同比例混合而强化不一,呈不均匀斑片状,条状强化。Antoni A 区富血供,中等或明显强化,Antoni B区乏血供,强化多不明显。
纵隔大细胞神经内分泌癌1例CT影像
张力性纵隔气肿影像表现及严重度分级
迅速增大的肺部结节,首先考虑良性,确诊需要肺穿
肺隔离症:易误诊为肺癌的占位性病变,肺穿刺禁忌!
肺段与肺内管道应用解剖
肺转移瘤的十种不典型CT表现
肺内淋巴结的CT表现特点及与病理对照
肺实变与肺不张的CT鉴别诊断
医生现身说法,这五种忙帮不得!
北大教授:要真正让医务人员有阳光体面的收入!医
为值夜班的医生护士鼓与呼:请给我们更多关注!
广东拟取消医院用药数量限制,满足患者多样性需求
博士、硕士入职就给精装房!又有医院不惜下血本招
历时7年之久,温医生宣判无罪!
重磅!四川发文:严禁限制医生多点执业
与真人医生诊断一致性达96%:AI医生应用前景广阔