男,39 岁,体检肺 CT。

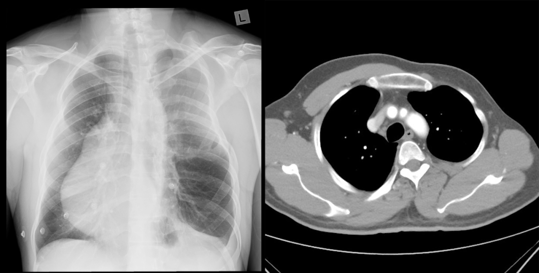
影像表现:右侧胸大肌及胸小肌缺如。
最终诊断为:部分型 Poland 综合征 (Poland syndrome)
Poland 综合征
Poland 综合征又称胸大肌缺损并指综合征,是一种单侧胸壁发育不良合并同侧手指畸形的先天性畸形。由 Alfred Poland 在 1897 年首次描述。国外报道,Poland 综合征的发病率为 1:30000,男女性发病率约 3:1。病因不明,可能与胚胎第 6 周末时,锁骨下动脉或其分支血供中断,导致供血区域组织的发育不良有关,畸形的范围和严重程度取决于血供中断的范围和程度。
临床特征
临床特征:包括部分或完全的胸大肌缺陷 (最主要的核心表现)、身体同侧的短指/并指畸形,有时合并胸腔和乳腺的其他畸形。不合并手部畸形者,称为部分型 Poland 综合征,此型更常见。此外还可合并其他畸形,如右位心、Mobius 综合征、Klippel-Feil 综合征等,还可合并肾脏畸形、肿瘤等。
影像学
影像学:主要表现为胸壁、肌肉、乳房及同侧上肢缺损或畸形的程度,并与健侧对比。3D 重建有利于更明确显示胸廓、肋骨及软组织畸形,本例右侧胸大肌及胸小肌缺如。
诊断
诊断:诊断通常基于临床表现、病史及影像学检查,影像学检查对评价畸形的严重程度、和手术时机的选择非常重要。
他山之石

病例 1:左侧胸大肌及胸小肌缺如,并左侧胸腔积液

病例 2:右侧胸大肌和胸小肌缺如,右侧乳房明显缩小

病例 3:左侧胸廓缩小,左侧胸大肌和胸小肌缺失,合并右位心

病例 4:胸部 X 线显示双侧乳头标记物高低不一致,右高左低,右肺野透亮度减低;右侧胸大肌及胸小肌缺失
治疗及预后
Poland 综合征因胸壁缺损而出现反常呼吸,明显影响心肺功能;此外胸壁畸形可影响心理健康;合并手指畸形者,可与胸壁手术分期进行;Poland 综合征预后较好,但矫形效果取决于畸形的程度,恰当的手术治疗可获得较理想的胸廓外形,但严重畸形往往存在广泛软组织发育不良,加上植入肋骨容易被吸收,术后可能会复发,甚至需要多次手术。
纵隔大细胞神经内分泌癌1例CT影像
张力性纵隔气肿影像表现及严重度分级
迅速增大的肺部结节,首先考虑良性,确诊需要肺穿
肺隔离症:易误诊为肺癌的占位性病变,肺穿刺禁忌!
肺段与肺内管道应用解剖
肺转移瘤的十种不典型CT表现
肺内淋巴结的CT表现特点及与病理对照
肺实变与肺不张的CT鉴别诊断
医生现身说法,这五种忙帮不得!
北大教授:要真正让医务人员有阳光体面的收入!医
为值夜班的医生护士鼓与呼:请给我们更多关注!
广东拟取消医院用药数量限制,满足患者多样性需求
博士、硕士入职就给精装房!又有医院不惜下血本招
历时7年之久,温医生宣判无罪!
重磅!四川发文:严禁限制医生多点执业
与真人医生诊断一致性达96%:AI医生应用前景广阔