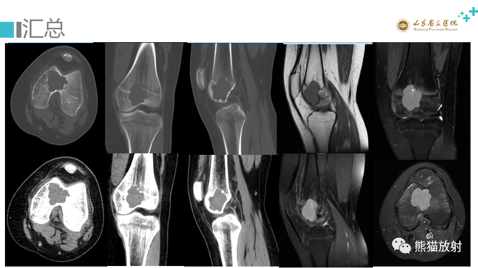
股骨远端动脉瘤样骨囊肿ABC VS 软骨母细胞瘤

发布时间:2022-10-20   来源:未知    
×
织梦二维码生成器

【病例】股骨远端动脉瘤样骨囊肿ABC VS 软骨母细胞瘤-1

【病例】股骨远端动脉瘤样骨囊肿ABC VS 软骨母细胞瘤-2

【病例】股骨远端动脉瘤样骨囊肿ABC VS 软骨母细胞瘤-3

【病例】股骨远端动脉瘤样骨囊肿ABC VS 软骨母细胞瘤-4

【病例】股骨远端动脉瘤样骨囊肿ABC VS 软骨母细胞瘤-5

【病例】股骨远端动脉瘤样骨囊肿ABC VS 软骨母细胞瘤-6

【病例】股骨远端动脉瘤样骨囊肿ABC VS 软骨母细胞瘤-7

【病例】股骨远端动脉瘤样骨囊肿ABC VS 软骨母细胞瘤-8

【病例】股骨远端动脉瘤样骨囊肿ABC VS 软骨母细胞瘤-5

【病例】股骨远端动脉瘤样骨囊肿ABC VS 软骨母细胞瘤-9

【病例】股骨远端动脉瘤样骨囊肿ABC VS 软骨母细胞瘤-10

【病例】股骨远端动脉瘤样骨囊肿ABC VS 软骨母细胞瘤-11

【病例】股骨远端动脉瘤样骨囊肿ABC VS 软骨母细胞瘤-12

【病例】股骨远端动脉瘤样骨囊肿ABC VS 软骨母细胞瘤-13

【病例】股骨远端动脉瘤样骨囊肿ABC VS 软骨母细胞瘤-14

【病例】股骨远端动脉瘤样骨囊肿ABC VS 软骨母细胞瘤-15

【病例】股骨远端动脉瘤样骨囊肿ABC VS 软骨母细胞瘤-16

【病例】股骨远端动脉瘤样骨囊肿ABC VS 软骨母细胞瘤-17

【病例】股骨远端动脉瘤样骨囊肿ABC VS 软骨母细胞瘤-18

【病例】股骨远端动脉瘤样骨囊肿ABC VS 软骨母细胞瘤-19

图说天下

医学图库
医学资讯
医学前沿
病例讨论