肺腺癌 VS 炎性肌纤维母细胞瘤

发布时间:2022-11-01   来源:未知    
×
织梦二维码生成器

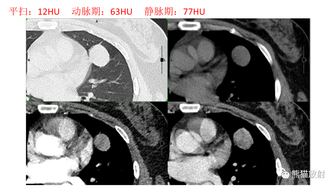
【病例】肺腺癌 VS 炎性肌纤维母细胞瘤-1

【病例】肺腺癌 VS 炎性肌纤维母细胞瘤-2

【病例】肺腺癌 VS 炎性肌纤维母细胞瘤-3

【病例】肺腺癌 VS 炎性肌纤维母细胞瘤-4

【病例】肺腺癌 VS 炎性肌纤维母细胞瘤-5

【病例】肺腺癌 VS 炎性肌纤维母细胞瘤-6

【病例】肺腺癌 VS 炎性肌纤维母细胞瘤-7

【病例】肺腺癌 VS 炎性肌纤维母细胞瘤-8

【病例】肺腺癌 VS 炎性肌纤维母细胞瘤-9

【病例】肺腺癌 VS 炎性肌纤维母细胞瘤-10

【病例】肺腺癌 VS 炎性肌纤维母细胞瘤-11

【病例】肺腺癌 VS 炎性肌纤维母细胞瘤-12

【病例】肺腺癌 VS 炎性肌纤维母细胞瘤-7

【病例】肺腺癌 VS 炎性肌纤维母细胞瘤-13

【病例】肺腺癌 VS 炎性肌纤维母细胞瘤-14

【病例】肺腺癌 VS 炎性肌纤维母细胞瘤-15

【病例】肺腺癌 VS 炎性肌纤维母细胞瘤-16

【病例】肺腺癌 VS 炎性肌纤维母细胞瘤-17

【病例】肺腺癌 VS 炎性肌纤维母细胞瘤-18

【病例】肺腺癌 VS 炎性肌纤维母细胞瘤-19

【病例】肺腺癌 VS 炎性肌纤维母细胞瘤-20

【病例】肺腺癌 VS 炎性肌纤维母细胞瘤-21

【病例】肺腺癌 VS 炎性肌纤维母细胞瘤-22

【病例】肺腺癌 VS 炎性肌纤维母细胞瘤-23

【病例】肺腺癌 VS 炎性肌纤维母细胞瘤-24

【病例】肺腺癌 VS 炎性肌纤维母细胞瘤-25

【病例】肺腺癌 VS 炎性肌纤维母细胞瘤-26

【病例】肺腺癌 VS 炎性肌纤维母细胞瘤-27

【病例】肺腺癌 VS 炎性肌纤维母细胞瘤-28

【病例】肺腺癌 VS 炎性肌纤维母细胞瘤-29

【病例】肺腺癌 VS 炎性肌纤维母细胞瘤-30

【病例】肺腺癌 VS 炎性肌纤维母细胞瘤-31

【病例】肺腺癌 VS 炎性肌纤维母细胞瘤-32

【病例】肺腺癌 VS 炎性肌纤维母细胞瘤-33

【病例】肺腺癌 VS 炎性肌纤维母细胞瘤-34

图说天下

医学图库
医学资讯
医学前沿
病例讨论