
颌面部间隙为筋膜间,筋膜与肌肉间,肌肉与肌肉间,以及筋膜与骨膜之间的潜在间隙, 各间隙内充满脂肪与结缔组织,彼此之间存在直接或间接的交通。一旦某一间隙发生感染,既可局限于单个间隙,也容易通过其内阻力薄弱的脂肪与结缔组织向邻近间隙扩散从而引起多间隙感染。
筋膜间隙-筋膜间隙正常时为疏松结缔组织或脂肪所填充,感染时成为脓液积聚和蔓延的通道。

颌面部各间隙通过结缔组织相交通,向上可达颅底,向下至纵膈、心包,所以颌面部感染容易演变为多间隙感染,甚至向上引起颅内感染,引起海绵窦血栓性静脉炎、脑脓肿等,向下形成纵隔、胸腔及心包感染,导致严重并发症。



各间隙感染病例:
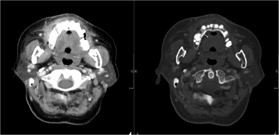
01 眶下间隙
女,31岁,前牙区肿胀不适。


牙根尖周骨质破坏,唇侧皮质不连续,周围软组织肿胀,提示眶下间隙感染。
02 咀嚼肌间隙、翼下颌间隙、颊间隙
男,31岁,患者约3天前出现右侧面部口角区局限性肿胀,无明显触压痛,既往右侧下颌后牙区阵发性锐痛,曾自行口服消炎药处理,自诉牙痛症状无明显缓解,约3天前牙痛症状加重,伴夜间痛,后自觉右侧面部肿胀,约2天前开始发热,体温39.8℃。

03 眶下间隙、颊间隙、咀嚼肌间隙、翼颌间隙
男,41岁,4天前右上后牙疼痛,右侧面部肿胀3天余。


04 咀嚼肌间隙、颌下间隙、左侧颞下间隙,颊间隙,翼颌间隙
男,55岁,左下后牙反复肿疼1年余,加重1月余,疼痛剧烈伴张口受限,面部肿胀。




咀嚼肌间隙有脓肿形成。
05 颌下间隙、颏下间隙
女,68岁,10天前自觉右侧下颌后牙区间断性钝痛,6天前发现右侧颌下区及颏下区肿胀,伴明显触压痛。




龋齿并冠周炎,咽旁间隙有肿大淋巴结。
06 颌下间隙
64M,1个月前出现右下后牙钝痛伴咬合痛,自服红霉素,症状减轻。20天前发现患侧颌面及牙龈肿胀,伴有牙松动、牙周溢脓,抗炎效果不佳。约10天前曾行“脓肿切开引流”,#46、#47拔除。

骨髓炎并颌下间隙及下唇部感染。
07 颌下间隙、咽旁间隙
男,12岁,因“右面部肿痛2天。

淋巴结炎累及颌下间隙、咽旁间隙。
08 颈动脉间隙、咽后间隙、颌下间隙
右侧颈部肿物入院。



淋巴结结核累及咽后间隙。
9 腮腺间隙、咽旁间隙
女,16岁,发现左侧颈部肿物7日余。

鳃裂囊肿并感染。
10 下颌下间隙
女,20岁,1个月前无意间发现右侧颈上部有一肿物,约鸡蛋样大小,触摸时质硬软,稍有疼痛。

鳃裂囊肿并感染。
11 颊间隙、下唇部
男,19岁,3周前自觉左面部肿痛不适,肿痛区可见一约“黄豆粒”样大小的肿物,按压时疼痛加重,至当地医院应用“消炎药” 治疗无明显疗效,肿痛症状加重,肿物逐渐增大。

表皮样囊肿并感染。
12 眶下间隙、颊间隙、咀嚼肌间隙、咽旁间隙
男,61岁,左侧面颊部、颌下、颏下肿胀15天,表面皮肤稍红,皮温不高,未扪及明显波动感。



角化囊肿并感染。
13 翼颌间隙、咽旁间隙
左下阻生齿拔除术后10天,伴吞咽疼痛4天。


手术导致的翼颌间隙及咽旁间隙脓肿形成。
14 眶下间隙、颊间隙
42M,10天前发现左侧上唇部有一“粉刺”,开始为红色硬结,用手按压患处,后形成黄白色脓头,8天前左侧上唇肿胀、疼痛,局部破溃溢脓,伴同侧眶下肿胀,发热,体温38℃。


唇痈伴发蜂窝织炎,局部脓肿形成。
15 多间隙受累
(1)左下后牙疼痛11天余,颈部肿胀10天。


(2)右侧颌面部弥漫性肿胀1月余。

参考文献
口腔额面部间隙感染的CT诊断,唐国桂等,上海医学影像杂志,2005年第14卷第2期。
纵隔大细胞神经内分泌癌1例CT影像
张力性纵隔气肿影像表现及严重度分级
迅速增大的肺部结节,首先考虑良性,确诊需要肺穿
肺隔离症:易误诊为肺癌的占位性病变,肺穿刺禁忌!
肺段与肺内管道应用解剖
肺转移瘤的十种不典型CT表现
肺内淋巴结的CT表现特点及与病理对照
肺实变与肺不张的CT鉴别诊断
医生现身说法,这五种忙帮不得!
北大教授:要真正让医务人员有阳光体面的收入!医
为值夜班的医生护士鼓与呼:请给我们更多关注!
广东拟取消医院用药数量限制,满足患者多样性需求
博士、硕士入职就给精装房!又有医院不惜下血本招
历时7年之久,温医生宣判无罪!
重磅!四川发文:严禁限制医生多点执业
与真人医生诊断一致性达96%:AI医生应用前景广阔