病例展示
男,49 岁,当地医院体检发现侧脑室壁结节,考虑占位,随来我院进一步检查,MR 如下图绿箭头所示。

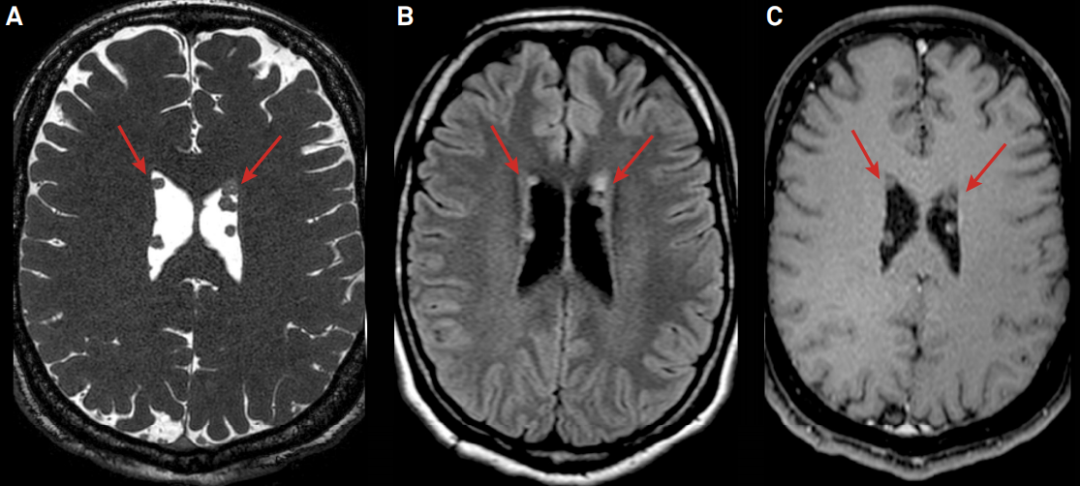
右侧侧脑室壁见结节样异常信号,T2WI 周围低信号,中心高信号,T1WI 呈周围等信号,中心低信号,FLAIR 呈高信号,DWI 及 ADC 图呈等信号。
高年资医生阅片之后告诉患者不要有任何担心,该吃吃该喝喝,并不是占位。
所以是什么呢?
环状侧脑室结节
环状侧脑室结节(Ring-shaped lateral ventricular nodules,RSLVN)往往是在接受颅脑 MR 检查患者偶然发现的,有研究发现 RSLVN 的患病率为 0.45%。RSLVN 无具体临床意义,最重要的一点是不要误认为是占位性病变或者结节性硬化的室管膜下结节。
RSLVN 病理
RSLVN 的病理:,包括神经胶质/胶质室管膜囊肿、室管膜炎症或反应性形成、室管膜下静脉附近的星形胶质细胞增生反应等。

a内镜下显示一个清晰、坚实的白色肿块突出到侧脑室。b-c. 缺乏异型性的椭圆形细胞簇嵌在纤维背景中,微晶结构在中部突出。
MR 表现
MR 表现:表现为室管膜下单个或多个结节样信号,体积往往比较小,即使多个大小也相当。T1WI 表现为结节样等信号,中心呈低信号,T2WI 表现为等信号,中心高信号,FLAIR 呈稍高信号,增强扫描不会出现强化。
他山之石

1 例多发的环状侧脑室结节

1 例单发的侧脑室环状结节

2 例单发侧脑室环状结节,增强检查均未见强化
作者 | 影像shine
参考文献:
SHIMONO T, HOSONO M, ASHIKAGA R, et al. Ring-shaped lateral ventricular nodules: an incidental finding on brain magnetic resonance imaging.[J]. Neuroradiology,2009,51(3):145-150
Is This Truly A “Leave-Me-Alone” Lesion? An Unusual Case of Multiple Ring-shaped Lateral Ventricular Nodules[J]. World neurosurgery,2020,13632-36
NAKAJIMA,R., UCHINO,A., SAITO,N., et al. Ring-shaped lateral ventricular nodules detected with brain MR imaging[J]. Magnetic resonance in medical sciences: MRMS : an official journal of Japan Society of Magnetic Resonance in Medicine,2013,12(2):105-110
纵隔大细胞神经内分泌癌1例CT影像
张力性纵隔气肿影像表现及严重度分级
迅速增大的肺部结节,首先考虑良性,确诊需要肺穿
肺隔离症:易误诊为肺癌的占位性病变,肺穿刺禁忌!
肺段与肺内管道应用解剖
肺转移瘤的十种不典型CT表现
肺内淋巴结的CT表现特点及与病理对照
肺实变与肺不张的CT鉴别诊断
医生现身说法,这五种忙帮不得!
北大教授:要真正让医务人员有阳光体面的收入!医
为值夜班的医生护士鼓与呼:请给我们更多关注!
广东拟取消医院用药数量限制,满足患者多样性需求
博士、硕士入职就给精装房!又有医院不惜下血本招
历时7年之久,温医生宣判无罪!
重磅!四川发文:严禁限制医生多点执业
与真人医生诊断一致性达96%:AI医生应用前景广阔