病例展示
女,55 岁,肺腺癌患者。检查颅脑核磁增强是否存在转移瘤。




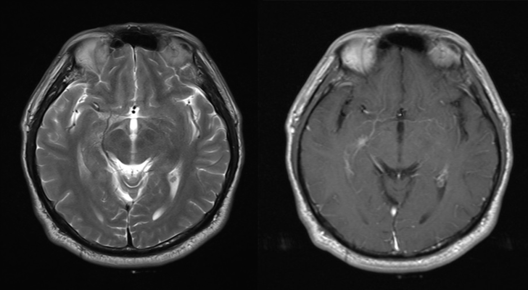
首次检查 2021-1-5 日发现左侧颞叶强化结节,轴矢冠状位都能看到,但是平扫看不到,周围亦未见水肿信号,此时没经验的诊断医生估计会考虑为转移瘤,一直困扰着患者和临床医生。但是在其余 7 次检查中 2021-3-2 至 2022-6-22 一年半多的时间,左侧颞叶强化结节仍然存在,并且基本没啥变化,如果是转移瘤会这么长时间无任何干预都处于一个静止状态吗?,此时是不是需要考虑其他的诊断?,究竟是什么呢,有经验的医生肯定会想到:是毛细血管扩张症。
中枢神经系统毛细血管扩张症
毛细血管扩张症(capillary telangiectasias)是一种隐匿性血管畸形,近年来由于 MRI 检查的普及,发现率越来越高,也就是说好多人是因为检查 MRI 才发现的毛细血管扩张症,其实一直存在,只不过 MR 将其发现。其尸解发现率仅次于静脉性血管畸形,为次常见的颅内血管畸形。临床上一般无症状,可在 MRI 检查时偶然发现,合并海绵状血管畸形时可因出血而就诊,多于 30-40 岁时发现。少数患者可见头痛、耳鸣、眩晕及局限性神经功能障碍。
病理特点
镜下由缺乏平滑肌细胞和弹性纤维的扩张毛细血管壁构成,异常血管之间可夹杂脑组织,部分灶周可见胶质增生与陈旧性出血所致的含铁血黄素沉积,毛细血管扩张症有时候与海绵状血管畸形及静脉发育不良并存。但应注意,本病与遗传性毛细血管扩张症无关。

可见异常扩张的毛细血管,其间夹杂着正常脑组织
影像学具有一定特点
①部位及大小:见于中枢神经系统任何部位,但最常见于脑干,其他包括大脑皮质、基底节及小脑、脊髓等处,常 <1 cm,边缘模糊呈毛刷状,无占位效应与灶周水肿。
②CT 平扫常无阳性表现,偶有钙化,增强扫描局部轻微强化。
③常规 MRI 也难以发现病变,约 50% 病例在 SWI 为局部轻微低信号,增强扫描呈轻微刷状或绒毛状、点状及线状强化。
④合并静脉发育不良时可见粗大的收集静脉向室管膜或脑膜方向引流。

仔细观察本例左侧颞叶强化结节,中心为明显强化,周围为稍淡淡样的强化,此为毛细血管扩张症的特点。

脑干毛细血管扩张症,SWI 低信号,结节样强化,强化程度要小于静脉

脑干较大毛细血管扩张症,T2WI 呈高信号,SWI 呈低信号,增强呈片状稍淡强化,可见引流静脉


右侧尾状核头毛细血管扩张症,平扫看不到,增强呈结节样强化,无水肿,矢状位和冠状位仔细观察结节内可见静脉向室管膜下引流

右侧海马旁回毛细血管扩张症,平扫显示不清,增强呈毛刷状,可见引流静脉

右侧放射冠相对较大的毛细血管扩张症,T2WI 和 FLAIR 呈高信号,SWI 呈低信号,增强呈片状稍淡样强化,可见引流静脉至室管膜下

右侧基底节区较大毛细血管扩张症,CT 呈稍高密度,MR 增强呈片状稍淡样强化,可见引流静脉,镜下可见扩张的毛细血管,异常血管之间可夹杂脑组织
作者 | 影像shine
参考文献
张晓龙, 陈星荣, 黄祥龙, 等. 中枢神经系统血管畸形的分类 (二)[J]. 国外医学(临床放射学分册),2001,24(1):11-14. DOI:10.3784/j.issn.1674-1897.2001.01.004.
庞军, 韩长利, 吕品, 等. 超高场 3.0T 磁共振磁敏感加权成像诊断颅内毛细血管扩张症 [J]. 中国医学影像技术,2009,25(1):62-64. DOI:10.3321/j.issn:1003-3289.2009.01.018.
褚纯, 张东, 李德志, 等. 大脑半球毛细血管扩张症 2 例及文献回顾 [J]. 中国卒中杂志,2008,3(10):726-729. DOI:10.3969/j.issn.1673-5765.2008.10.005.
纵隔大细胞神经内分泌癌1例CT影像
张力性纵隔气肿影像表现及严重度分级
迅速增大的肺部结节,首先考虑良性,确诊需要肺穿
肺隔离症:易误诊为肺癌的占位性病变,肺穿刺禁忌!
肺段与肺内管道应用解剖
肺转移瘤的十种不典型CT表现
肺内淋巴结的CT表现特点及与病理对照
肺实变与肺不张的CT鉴别诊断
医生现身说法,这五种忙帮不得!
北大教授:要真正让医务人员有阳光体面的收入!医
为值夜班的医生护士鼓与呼:请给我们更多关注!
广东拟取消医院用药数量限制,满足患者多样性需求
博士、硕士入职就给精装房!又有医院不惜下血本招
历时7年之久,温医生宣判无罪!
重磅!四川发文:严禁限制医生多点执业
与真人医生诊断一致性达96%:AI医生应用前景广阔