医学百科网
热门搜索:  肺癌  糖尿病  肺结节  肺  高血压
  • 首页
  • 医学资讯
    医号文件 事件聚焦 医话医议 药事资讯 医眼看法
  • 医学前沿
  • 医学图库
    头颈 心胸 腹盆 骨肌 病例 PPT
  • 病例讨论
  • 健康科普
  • 医学百科
    疾病百科 症状百科 检查百科 中医百科 急救常识
  • 医路有你(医学导航)
  • 医学院校

首页 > 医学图库 > 病例 >
  • 肝包膜皱缩,除了胆管细胞癌,还有这几种情况

    肝包膜皱缩,除了胆管细胞癌,还有这几种情况

  • 胃肠营养管影像评估

    胃肠营养管影像评估

  • 骨孤立性浆细胞瘤

    骨孤立性浆细胞瘤

  • 液体衰减反转恢复(FLAIR)序列图像有何特点

    液体衰减反转恢复(FLAIR)序列图像有何特点

  • 颌面部间隙感染影像诊断及各间隙解剖

    颌面部间隙感染影像诊断及各间隙解剖

  • MOGHE的MRI诊断与鉴别诊断

    MOGHE的MRI诊断与鉴别诊断

  • Rathke裂囊肿影像诊断要点

    Rathke裂囊肿影像诊断要点

  • 肺部子宫内膜异位症1例CT影像

    肺部子宫内膜异位症1例CT影像

  • 胰腺囊性病变3例影像诊断

    胰腺囊性病变3例影像诊断

  • 病毒性肺炎

    病毒性肺炎

  • 前列腺滑膜肉瘤1例MR影像

    前列腺滑膜肉瘤1例MR影像

  • 肺腺癌 VS 炎性肌纤维母细胞瘤

    肺腺癌 VS 炎性肌纤维母细胞瘤

  • Wernicke脑病1例MR影像

    Wernicke脑病1例MR影像

  • 前列腺肉瘤

    前列腺肉瘤

  • 室管膜下巨细胞星形细胞瘤1例MR影像

    室管膜下巨细胞星形细胞瘤1例MR影像

  • 奥本海默小骨1例CT影像

    奥本海默小骨1例CT影像

  • 肺炎性肌纤维母细胞瘤1例CT影像

    肺炎性肌纤维母细胞瘤1例CT影像

  • 肠梗阻读片之小肠篇

    肠梗阻读片之小肠篇

  • 三叉神经鞘瘤1例MR影像表现

    三叉神经鞘瘤1例MR影像表现

  • 表皮样囊肿1例MR影像表现

    表皮样囊肿1例MR影像表现

  • 卵巢囊腺瘤1例MR影像

    卵巢囊腺瘤1例MR影像

  • 脊髓星形细胞瘤1例MR影像

    脊髓星形细胞瘤1例MR影像

  • 子宫内膜透明细胞癌1例MR

    子宫内膜透明细胞癌1例MR

  • 椎体恶性外周神经鞘瘤 VS 浆细胞瘤

    椎体恶性外周神经鞘瘤 VS 浆细胞瘤

  • 血管中心性胶质瘤一例分析

    血管中心性胶质瘤一例分析

  • 【病例】腹膜后可钙化的占位性病变,这两种疾病怎么鉴别?

    【病例】腹膜后可钙化的占位性病变,这两种疾病怎么鉴别?

  • 【病例】肾上腺碰撞瘤1例影像表现

    【病例】肾上腺碰撞瘤1例影像表现

  • 【病例】胃间质瘤VS神经鞘瘤

    【病例】胃间质瘤VS神经鞘瘤

  • 【病例】子宫腺肌瘤1例MR影像

    【病例】子宫腺肌瘤1例MR影像

  • 肱骨上段软骨肉瘤1例X线CT及MR影像表现

    肱骨上段软骨肉瘤1例X线CT及MR影像表现

  • 骨促结缔组织增生性纤维瘤1例X线MR

    骨促结缔组织增生性纤维瘤1例X线MR

  • 右股骨内生软骨瘤1例X线CT影像表现

    右股骨内生软骨瘤1例X线CT影像表现

  • 首页
  • 上一页
  • 1
  • 2
  • 3
  • 4
  • 5
  • 6
  • 7
  • 8
  • 9
  • 下一页
  • 末页
  • 共 10页309条
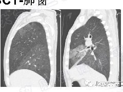
纵隔大细胞神经内分泌癌1例CT影像
1
纵隔大细胞神经内分泌癌1例CT影像
  • 2 特发性颅内压增高症影像表现1例
  • 3 吸入高浓度漂白剂致化学性肺炎1例
  • 4 子宫颈浸润性复层产黏液性癌诊疗分析
  • 5 阴道骶骨固定术后网片暴露多次修剪1例
  • 6 儿童上臂罕见骨外动脉瘤样骨囊肿1例

每日精选

  • CTA诊断主动脉夹层的内容和征象
    CTA诊断主动脉夹层的内容和征象
    2023-01-11
  • 前纵隔胸腺瘤
    前纵隔胸腺瘤
    2023-01-11
  • 环礁岛征/反晕征—隐源性机化性肺炎2例CT影像
    环礁岛征/反晕征—隐源性机化性肺炎2例CT影像
    2022-12-05
  • 肺脓肿
    肺脓肿
    2022-11-16

猜你喜欢

痛风常见,您见过罕见的椎管内痛风结石吗?
  • 胸膜结核瘤1例CT影像表现
  • 滑膜软骨瘤病
  • 颅内表皮样囊肿自发破裂并发静脉窦血栓1例
  • 胸膜孤立性纤维瘤1例CT影像表现
  • 【病例】右颞部血管外皮细胞瘤1例MR

精彩图片

纵隔大细胞神经内分泌癌1例CT影像

纵隔大细胞神经内分泌癌1例CT影像

特发性颅内压增高症影像表现1例

特发性颅内压增高症影像表现1例

吸入高浓度漂白剂致化学性肺炎1例

吸入高浓度漂白剂致化学性肺炎1例

子宫颈浸润性复层产黏液性癌诊疗分析

子宫颈浸润性复层产黏液性癌诊疗分析


关于我们 广告服务 联系我们 网站地图 51LA统计

内容来自网络,如有侵权请联系我们。 Copyright @2009-2023 医学百科网 | YxBaike.Com

辽ICP备15019299号-3

辽公网安备 21028102000172号