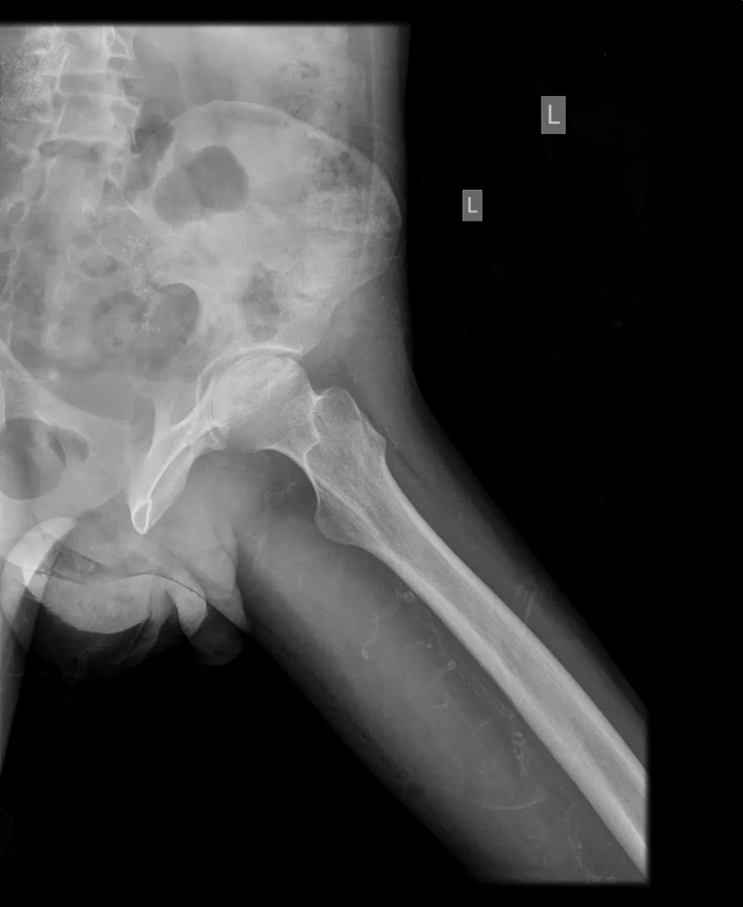
CASE M25 年轻男性,已知有类固醇治疗狼疮性肾炎史。伴有双侧髋关节疼痛和运动困难的抱怨。



不规则的透光区,代表软骨下囊变,与边缘硬化在两个股骨头。双股骨头呈线性软骨下骨折/断裂,伴有轻度塌陷/扁平。这些发现代表了双侧股骨头缺血性坏死。




双侧股骨头前上面有大面积的骨髓异常,T1为低信号,在T1和T2W图像上,周围环绕着低强度的边缘。双股骨头呈线性软骨下骨折/断裂,在脂肪抑制图像上得到很好的评价。两侧均有轻度塌陷/扁平的轻微轮廓畸形。这些发现代表了双侧股骨头缺血性坏死。
骶髂关节和耻骨联合正常。
盆腔内存在小体积游离液。弥漫性软组织水肿见于前腹壁及骨盆、大腿。这些发现是由于慢性肾脏疾病造成的。
这是典型的双边缺血性坏死有特征性的X线和MRI表现。患者有SLE合并狼疮性肾炎并接受类固醇治疗,均易发生AVN。
纵隔大细胞神经内分泌癌1例CT影像
张力性纵隔气肿影像表现及严重度分级
迅速增大的肺部结节,首先考虑良性,确诊需要肺穿
肺隔离症:易误诊为肺癌的占位性病变,肺穿刺禁忌!
肺段与肺内管道应用解剖
肺转移瘤的十种不典型CT表现
肺内淋巴结的CT表现特点及与病理对照
肺实变与肺不张的CT鉴别诊断
医生现身说法,这五种忙帮不得!
北大教授:要真正让医务人员有阳光体面的收入!医
为值夜班的医生护士鼓与呼:请给我们更多关注!
广东拟取消医院用药数量限制,满足患者多样性需求
博士、硕士入职就给精装房!又有医院不惜下血本招
历时7年之久,温医生宣判无罪!
重磅!四川发文:严禁限制医生多点执业
与真人医生诊断一致性达96%:AI医生应用前景广阔