定义
结核性肉芽肿的临床和影像表现复杂多样,通常有“分叶征”、“毛刺征”、空洞、胸膜增厚、纵隔肺门淋巴结肿大等征象,与肺癌等其它肺内占位性病变多有重叠,难以鉴别。袁怀平老师总结一些结核性肉芽肿病例,发现一个较具特征性的影像改变,即“支气管树爬行征”。因此,结合病理和临床进一步分析,以期加深对其认识和提高对该病的诊断水平。
支气管树爬行征即病灶一般在外周起灶,形成软组织结节或肿块,近肺门侧有沿支气管血管束向肺门侧蔓延的趋势,外侧部分较内侧宽大,袁怀平、南边等肺部影像联盟老师称此征象为“支气管树爬行征”。
判断方法与标准
两个必要条件:1、病变内侧支气管通畅;2、病变侧肺容积正常。
判断方法:1、病变沿支气管血管束向肺门侧蔓延;2、病变最大径与肺轴向、纵向往往都具有一定的夹角,而非平行。
备注:支气管树爬行征这个观点是袁怀平老师提出来的。当时提出了一个观点,就是说支气管是通畅的。支气管树爬行征就是肉芽肿性病变,不过它是沿着支气管周围间质往肺门侧延伸的。我们以前认定支气管要通畅的,但是后续发现部分隐球菌尤其是表现为大片状影时支气管在中近端可以堵塞。因此南边老师主张支气管爬行征改良为支气管可以通畅,也可以在中间堵塞。该如何判断支气管树爬行征,还需要大宗数据进行观察总结。
示意图

病例实战
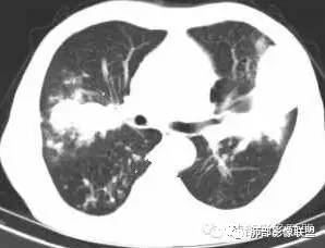
病例一:女,48岁,右肺下叶不规则肿块,边缘有分叶及毛刺,病变沿支气管血管束向肺门生长,外侧部分较内侧部分大,形成“支气管树爬行征”,纵隔及右肺门有肿大淋巴结。
![]() |
![]() |
病例二:患者 女,64岁,右肺下叶肿块有“支气管树爬行征”。
![]() |
![]() |
病例三:男,74岁,双肺上叶不规则软组织肿块,内侧与肺门相连,形成“支气管树爬行征”。
![]() |
![]() |
病例四:男,30岁右肺下叶见不规则分叶状肿块,边缘见毛刺,纵隔及右肺门见肿大淋巴结,增强扫描动静脉期呈轻度强化,见“支气管树爬行征”。
![]() |
![]() |
病例五:中年男性,左肺下叶病灶沿支气管从外向内爬行。

病例六:女性,反复咳嗽咳痰10余天,左肺上叶病灶沿支气管爬行。

以上病例均为肺结核。
总结
结核影像征象分析,结核性肉芽肿有以下影像表现:①肿块形态:一般边缘不规则,边界清楚,可以有分叶以及长毛刺,部分病灶张力明显。②肿块密度:肿块内密度多不均匀,可见坏死空洞、钙化或支气管内粘液栓等。增强扫描病变呈轻中度强化。③肿块周边:部分肿块周围可以见到斑片影、结节影、树芽征等,新旧不等,且“卫星病灶”常见;可以与同侧胸膜粘连,局部胸膜增厚,胸膜受累者出现胸腔积液。④部分病例纵隔淋巴结肿大,一般小于2cm,易坏死,环形强化特征较为明显,部分钙化。
部分影像学特征与肺癌及其他肺内占位性病变有重叠,单从影像上难以鉴别。但是笔者从一组病例中发现一个共同具有的影像特征:即病灶在外周生发,形成软组织结节或肿块,近肺门侧有沿支气管血管束向肺门葡行蔓延的趋势,肿块的外侧部分较内侧宽大,因此,病变的最大径是斜行的,与肺的横轴和纵轴成一定角度。笔者称此征象为“支气管树爬行征”。在CT横断面连续层面观察或在定位像上、冠状位重建显示更加显着。笔者认为此征象为肺内结核性肉芽肿的较具特征性表现。其影像病理基础可能为结核杆菌在肺外周生长形成肉芽肿,由于结核杆菌为专性需氧菌,所以病变沿着支气管血管束向通气更加良好、氧分压更高的肺门周围生长,抑或是沿着淋巴管通路类似淋巴管炎向肺门播散。此推论还需要临床及病理生理进一步证实。
总结: 支气管树爬行征”是结核性肉芽肿较具特征的一种影像表现,在其他肺部病变中尚未见到类似的典型征象。但是,由于没有进行前瞻性研究,尚不确定该征象在诊断结核性肉芽肿的敏感度和特异性,希望能够在进一步的临床应用中加以验证和总结。
纵隔大细胞神经内分泌癌1例CT影像
张力性纵隔气肿影像表现及严重度分级
迅速增大的肺部结节,首先考虑良性,确诊需要肺穿
肺隔离症:易误诊为肺癌的占位性病变,肺穿刺禁忌!
肺段与肺内管道应用解剖
肺转移瘤的十种不典型CT表现
肺内淋巴结的CT表现特点及与病理对照
肺实变与肺不张的CT鉴别诊断
医生现身说法,这五种忙帮不得!
北大教授:要真正让医务人员有阳光体面的收入!医
为值夜班的医生护士鼓与呼:请给我们更多关注!
广东拟取消医院用药数量限制,满足患者多样性需求
博士、硕士入职就给精装房!又有医院不惜下血本招
历时7年之久,温医生宣判无罪!
重磅!四川发文:严禁限制医生多点执业
与真人医生诊断一致性达96%:AI医生应用前景广阔