系统性硬化症(硬皮病)
系统性硬化症(systemic Sclerosis,SSc),又称硬皮病(scleroderma),是一种遗传因素再加反复持久的急、慢性感染造成的一种自身免疫机制失调的结缔组织疾病,临床上以局限性或弥漫性皮肤增厚和纤维化为特征。女性发病率大约为男性的4倍,儿童相对少见。本病的严重程度和发展情况变化较大,除皮肤受累外,它也可影响内脏(心、肺、脑部和消化道等器官)。近年来发现,硬皮病伴发肺间质病变(interstitial lungdiseasse,ILD)发生率高达25% ~90%[1],且是SSc致死的首要原因。
一、临床与病理
美国风湿病学会(ARA)1998年提出系统性硬化症的诊断标准,主要标准:掌指关节近端的硬皮变化可累及整个肢体、面部、全身及躯次要标准:
①手指硬皮病:上述皮肤改变仅限于手指②手指有凹陷性痕和指垫消失;③双肺基底纤维化。
系统性硬皮病的内脏损害及辅助检查的异常率高于局限性硬皮病,且关节疼痛发生率和抗核抗体阳性率增高。实验室指标,在局限性硬皮病中发现了球蛋白丙转氨酶和谷草转氨酶的增高,而在系统性硬皮病发现球蛋白及谷丙转氨酶增高异常率在50%以上,谷草转氨酶也存在增高抗核抗体谱,单项或全部为阴性,系统性硬皮病中ANA60.0%阳性,抗SSA抗SSB抗体25%左右的阳性率,未发现抗SCL70抗体阳性.
病理上,系统性硬化症又称硬皮病,是一种原因不明的系统性自身免疫病,由炎性细胞和细胞因子共同作用,导致成纤维细胞的活化和细胞外基质(extrcellularmatrix,ECM)沉积[2],大量结缔组织成份如Ⅰ型及Ⅲ型胶原、蛋白多糖、纤维结合素在间质及小血管内膜沉积,导致变性、纤维化和小血管闭塞[3]。炎症和纤维化是Ssc的特征性改变,主要病理改变为皮肤及内脏器官的结缔组织反复发生炎症、纤维化,以及小动脉、微血管变性、闭塞。
二、影像学表现:
1、呼吸系统:肺部的主要病理学改变为肺泡、间质和支气管周围组织弥漫性纤维化以及不同程度的炎性细胞浸润,可有肺泡壁增厚、变性。Armhga等[4]研究显示,在发现SSc患者肺部异常方面,HRCT较肺功能检查和胸片更为有效。Garher等[5]通过对78例SSc肺部HRCT资料分析,发现85%肺部异常。本组资料显示了73%的SSc患者肺间质纤维化,与有关文献相近。

病例1:女,38岁,硬皮症患者
1a肺部平扫显示肺内大片实变影及磨玻璃样改变,可见支气管充气相,沿支气管血管束可见粟粒状结节影,右侧胸腔少量积液,1b经过治疗后病灶减少,HRCT显示小叶间隔及小支气管壁增厚,胸膜下线影及局部胸膜增厚。

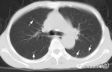
病例2,男,57岁,硬皮症2年
图CT平扫沿支气管血管束散在小结节状影,边界较清;

病例3 女,42岁,硬皮病30年
图3 两肺弥漫性小叶间隔增厚,胸膜下线及网格状影,伴渗出性病变,胸膜增厚。

病例4 系统性硬化合并扩张型心肌病
硬皮病肺内浸润,合并心肌病变。心影增大,双侧胸腔积液,肺内见小斑片状渗出性病灶。(简卫红.系统性硬化合并扩张型心肌病 1 例[J].湖北科技学院学报( 医学版),2018,32(6):539-540.)
2、神经系统改变,显示脑内点片状高密度钙化影,脑内可有大片状低密度区,为血管闭塞脑组织缺血及原纤维增生所致。MR:病灶部位脑组织内如继发有缺血、胶质增生和脱改变,表现为长T长T2信号改变;血管外炎性渗出,若蛋白质含量丰富则T1WI上呈高信号。



病例5
图:显示脑内点片状高密度钙化影,脑内可有大片状低密度区,为血管闭塞脑组织缺血及原纤维增生所致。脑组织内胶质增生和脱改变,表现为长T1长T2信号改变。(《颅脑CT与MRI对比临床应用》龚洪翰、肖香佐)
参考文献
1 Winstone TA,Assayag D,Wilcox PG,et al. Predictors of mortality and progression in scleroderma-associated interstitial lung disease: a systematic review[J].Chest,2014,146(2):422-436.
2 Bhatttacharyya S,Wei J,Varga J.Understanding fibrosis insystemic sclerosis:shifting paradigms, emerging opportunities [J].Nat Rev Rheumatol,2012,8(1):42-54.
3 陈明泽. 中国内科[M].北京:人民医药出版社,1999年:225。
4 ArroligaAC,Podell DN,Matthay RA. Pulmonary manifestations of scleroderma. J Thorac Imaging,1992,7(2):30-45.
5 Garber SJ,Wells AU,Dubois RM,et al. Enlarged mediastinal lymphnodes in the fibrosing alveolitis of systemic sclerosis,1992,65(779):983-986.
纵隔大细胞神经内分泌癌1例CT影像
张力性纵隔气肿影像表现及严重度分级
迅速增大的肺部结节,首先考虑良性,确诊需要肺穿
肺隔离症:易误诊为肺癌的占位性病变,肺穿刺禁忌!
肺段与肺内管道应用解剖
肺转移瘤的十种不典型CT表现
肺内淋巴结的CT表现特点及与病理对照
肺实变与肺不张的CT鉴别诊断
医生现身说法,这五种忙帮不得!
北大教授:要真正让医务人员有阳光体面的收入!医
为值夜班的医生护士鼓与呼:请给我们更多关注!
广东拟取消医院用药数量限制,满足患者多样性需求
博士、硕士入职就给精装房!又有医院不惜下血本招
历时7年之久,温医生宣判无罪!
重磅!四川发文:严禁限制医生多点执业
与真人医生诊断一致性达96%:AI医生应用前景广阔