在接受CT检查的无阑尾炎的患者中,67-100%的人可以辨认出正常的阑尾。
正常阑尾的最大外径为6mm,周围是均匀的非炎症脂肪,通常含有腔内气体。如下图

下图43岁男性阑尾炎。增强CT显示一个充满液体的扩张阑尾(箭头)与阑尾周围脂肪缠绕。

据报道,肠系膜淋巴结炎是继阑尾炎后右下象限疼痛的第二常见原因,占临床怀疑阑尾炎患者出院诊断的2-14%。
它被定义为右侧肠系膜淋巴结的良性自限性炎症,在儿童中发生的频率比在成人中更多。超声和CT显示成簇淋巴结。

肠脂垂是结肠浆膜表面的小脂肪突出物。可发生扭转和继发性炎症,引起局灶性腹痛,当位于右下象限时模拟阑尾炎。
肠脂垂炎是一种自限性疾病,约占临床上怀疑患阑尾炎患者的1%。
超声和CT描绘了结肠附近的一个发炎的脂肪团块(下图),在CT上含有一个特征性的增厚脏层腹膜衬里的高密度环。

网膜梗死的病理生理和临床表现与阑尾炎相似,梗死脂肪组织多位于大网膜的右侧部分。影像学表现为类蒲公英样发炎的脂肪肿块(下图),与肠脂垂炎不同,CT上缺乏高密度环。

在某些情况下,可能很难区分肠脂垂炎和网膜梗死,然而,这种区分没有临床意义,因为两者都有相似的良性自限史。
下图47岁女性急性右下象限疼痛。CT平扫显示呈卵圆形发炎的脂肪团(箭头),肠环正常。病变的形状和大小提示肠脂垂炎,但病变不含高密度环。在这种情况下,很难区分肠脂垂炎和网膜梗死。

超声和CT表现包括结肠周围脂肪的炎性改变和憩室炎水平周围结肠壁节段性增厚。
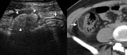
下图 51岁男性右半结肠憩室炎。无增强CT显示沿盲肠壁(箭头)和正常阑尾(箭头)脂肪缠绕。超声显示炎症的原因,一个发炎的盲肠憩室(箭头)。

通常会引起长期的症状,但多达三分之一的回肠盲肠克罗恩病患者的最初症状如此严重,以至于他们被误诊为阑尾炎。
在回肠盲肠克罗恩病的急性活动期,影像学显示肠壁增厚,通常以粘膜下层为主,伴周围脂肪的炎症。简单的克罗恩病最初可以用抗炎药物治疗。
下图 28岁男性急性回肠克罗恩病。A和B声像图显示回肠末端(箭头)纵向(A)和横断面(B)壁增厚,周围脂肪(箭头)呈高回声炎性改变。C、CT增强扫描证实末端回肠(箭头)壁增厚和管腔狭窄,局部脂肪搁浅。

在抗凝治疗中,腹直肌鞘血肿易被诊断为疼痛的可触及肿块,但小而不可见的血肿可模拟阑尾炎,也可发生于无抗凝抗凝治疗的患者。
超声和CT示腹直肌鞘内出血性肿块。除调整抗凝治疗外,不需要任何治疗。
下图 68岁女性直肌鞘血肿。A,声像图显示右下象限腹直肌鞘内病变(箭头)。病变含有液液平面。B,无增强CT显示病变为腹直肌鞘内的部分高密度肿块(箭头)。

本文来源于radiologyassistant,著设如有错误,请留言指正,谢谢!
纵隔大细胞神经内分泌癌1例CT影像
张力性纵隔气肿影像表现及严重度分级
迅速增大的肺部结节,首先考虑良性,确诊需要肺穿
肺隔离症:易误诊为肺癌的占位性病变,肺穿刺禁忌!
肺段与肺内管道应用解剖
肺转移瘤的十种不典型CT表现
肺内淋巴结的CT表现特点及与病理对照
肺实变与肺不张的CT鉴别诊断
医生现身说法,这五种忙帮不得!
北大教授:要真正让医务人员有阳光体面的收入!医
为值夜班的医生护士鼓与呼:请给我们更多关注!
广东拟取消医院用药数量限制,满足患者多样性需求
博士、硕士入职就给精装房!又有医院不惜下血本招
历时7年之久,温医生宣判无罪!
重磅!四川发文:严禁限制医生多点执业
与真人医生诊断一致性达96%:AI医生应用前景广阔