高分辨率CT扫描技术的应用,能够精细显示气管支气管的解剖结构,对于微小病变的显示有着重要的临床价值。
支气管的扩张表现为支气管壁增厚,管腔扩张,往往伴有支气管气道的慢性炎症、感染性疾病侵袭到支气管壁所导致。在支气管扩张的区域可见局限性肺气肿、马赛克以及支气管血管束牵拉移位等。
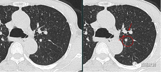
判断支气管扩张症的 MSCT表现,依据病变的程度、走行方向扫描层面有一定的关系。而印戒征和轨道征见于柱状支气管扩张,正常支气管管径稍小于伴行的肺动脉, 若支气管管径大于伴行的肺动脉直径,且此时的走行方向与扫描图像层面垂直,即构成特征性的印戒征。

▲图:支气管扩张,印戒征,支气管扩张旁边伴随肺动脉影。
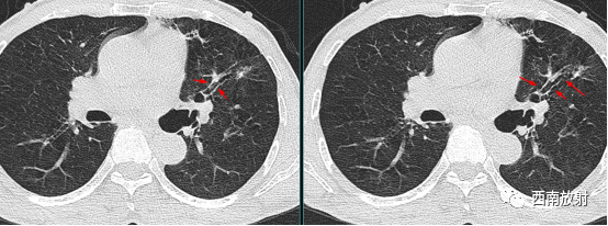
当扩大的支气管走行与扫描图像层面平行时,表现为轨道征。扫描层面有时与支气管不垂直或平行时,可以通过图像重建弥补。

▲图:右肺中叶炎症导致静脉曲张样支气管扩张,双轨征;
囊状支气管扩张支气管壁内外光滑,呈一串葡萄状,气液平面是其特征性表现;静脉曲张型支气管扩张呈蚯蚓状纡曲,管壁增厚不规则。

▲图:柱状支气管扩张,在扩张的支气管与扫描层面平行时,出现双轨征。
黏液嵌塞征是支气管扩张症比较少见的征象,是由于支气管分泌物贮留于扩张的支气管内所致。支气管扩张症也可伴有叶段的肺萎缩,表现为较大的肺动脉和主或叶支气管的移位,邻近肺段内的支气管和肺血管结构的重新排列,在萎缩肺中可见增粗的含气支气管征。

▲图:黄箭头及圆圈:静脉曲张样支气管扩张,双轨征;黄圈:支气管粘液栓塞。

▲图:右肺上叶支气管扩张,肺叶局限性萎缩,结构紊乱。
小结:
印戒征及双轨征是鉴别支气管扩张特征性表现,也是与其他囊性肺疾病的一个辅助征象。影像学表现支气管鞘增厚、支气管管腔粗细不均匀、肋胸膜下1cm范围内可见支气管等伴随征象均有助于支气管扩张的诊断。
纵隔大细胞神经内分泌癌1例CT影像
张力性纵隔气肿影像表现及严重度分级
迅速增大的肺部结节,首先考虑良性,确诊需要肺穿
肺隔离症:易误诊为肺癌的占位性病变,肺穿刺禁忌!
肺段与肺内管道应用解剖
肺转移瘤的十种不典型CT表现
肺内淋巴结的CT表现特点及与病理对照
肺实变与肺不张的CT鉴别诊断
医生现身说法,这五种忙帮不得!
北大教授:要真正让医务人员有阳光体面的收入!医
为值夜班的医生护士鼓与呼:请给我们更多关注!
广东拟取消医院用药数量限制,满足患者多样性需求
博士、硕士入职就给精装房!又有医院不惜下血本招
历时7年之久,温医生宣判无罪!
重磅!四川发文:严禁限制医生多点执业
与真人医生诊断一致性达96%:AI医生应用前景广阔