医学百科网
热门搜索:  肺癌  糖尿病  肺结节  肺  高血压
  • 首页
  • 医学资讯
    医号文件 事件聚焦 医话医议 药事资讯 医眼看法
  • 医学前沿
  • 医学图库
    头颈 心胸 腹盆 骨肌 病例 PPT
  • 病例讨论
  • 健康科普
  • 医学百科
    疾病百科 症状百科 检查百科 中医百科 急救常识
  • 医路有你(医学导航)
  • 医学院校

首页 > 医学图库 > 心胸 >
  • 【病例】前纵隔神经鞘瘤一例CT影像表现

    【病例】前纵隔神经鞘瘤一例CT影像表现

  • 【PPT】肺部炎症新认识点滴

    【PPT】肺部炎症新认识点滴

  • 【病例】肺动脉静脉畸形1例CT

    【病例】肺动脉静脉畸形1例CT

  • 【病例】腹膜后巨淋巴结增生症1例CT影像表现

    【病例】腹膜后巨淋巴结增生症1例CT影像表现

  • 心脏冠状动脉CT血管成像技术规范化应用中国指南精选

    心脏冠状动脉CT血管成像技术规范化应用中国指南精选

  • 【病例】肺曲菌球1例X线CT

    【病例】肺曲菌球1例X线CT

  • 【病例】右位主动脉弓合并迷走左锁骨下动脉1例CT

    【病例】右位主动脉弓合并迷走左锁骨下动脉1例CT

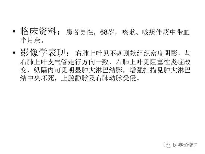
  • 【病例】右肺上叶小细胞癌1例CT影像表现

    【病例】右肺上叶小细胞癌1例CT影像表现

  • 【病例】肺隐球菌病1例CT影像表现

    【病例】肺隐球菌病1例CT影像表现

  • 【病例】气管肿瘤2例CT影像诊断

    【病例】气管肿瘤2例CT影像诊断

  • 【病例】肺泡蛋白沉积症1例CT影像表现

    【病例】肺泡蛋白沉积症1例CT影像表现

  • 【PPT】纵隔肿瘤影像诊断(全)

    【PPT】纵隔肿瘤影像诊断(全)

  • 【病例】肺炎性肌纤维母细胞瘤1例CT影像表现

    【病例】肺炎性肌纤维母细胞瘤1例CT影像表现

  • 【病例】纵隔滑膜肉瘤1例CT影像表现

    【病例】纵隔滑膜肉瘤1例CT影像表现

  • 【病例】肺异物性肉芽肿1例CT影像表现

    【病例】肺异物性肉芽肿1例CT影像表现

  • 【病例】小细胞肺癌1例CT影像表现

    【病例】小细胞肺癌1例CT影像表现

  • 【病例】肺隔离症1例CT影像表现

    【病例】肺隔离症1例CT影像表现

  • 【病例】硬化性肺泡细胞瘤PSP一例CT

    【病例】硬化性肺泡细胞瘤PSP一例CT

  • 【PPT】心肌致密化不全

    【PPT】心肌致密化不全

  • 【病例】肺浸润性腺癌1例CT

    【病例】肺浸润性腺癌1例CT

  • 【PPT】肺泡蛋白沉积症的影像诊断

    【PPT】肺泡蛋白沉积症的影像诊断

  • 【PPT】心肌淀粉样变

    【PPT】心肌淀粉样变

  • 【病例】肺部弥漫大B淋巴瘤病例思考及启示

    【病例】肺部弥漫大B淋巴瘤病例思考及启示

  • 【PPT】变态反应性支气管肺曲霉菌病

    【PPT】变态反应性支气管肺曲霉菌病

  • 【病例】支原体肺炎

    【病例】支原体肺炎

  • 【病例】支气管腔内结节灶,你能想到哪些病变?

    【病例】支气管腔内结节灶,你能想到哪些病变?

  • 【病例】肺错构瘤 VS 肺硬化性血管瘤

    【病例】肺错构瘤 VS 肺硬化性血管瘤

  • 【病例】胸膜下的混合密度结节—良恶之争

    【病例】胸膜下的混合密度结节—良恶之争

  • 【PPT】川崎病冠状动脉病变影像诊断

    【PPT】川崎病冠状动脉病变影像诊断

  • 肺曲霉菌病、肺隐球菌病影像表现

    肺曲霉菌病、肺隐球菌病影像表现

  • 【病例】肺部这样的片状影,你是否能一锤定音?

    【病例】肺部这样的片状影,你是否能一锤定音?

  • 【病例】肺良性转移性平滑肌瘤病1例CT影像

    【病例】肺良性转移性平滑肌瘤病1例CT影像

  • 首页
  • 上一页
  • 5
  • 6
  • 7
  • 8
  • 9
  • 10
  • 11
  • 12
  • 13
  • 下一页
  • 末页
  • 共 13页413条
张力性纵隔气肿影像表现及严重度分级
1
张力性纵隔气肿影像表现及严重度分级
  • 2 如何在影像上判断新冠病毒肺部感染是否好转
  • 3 原发性纵隔胚胎性癌
  • 4 贲门失弛缓症、食管憩室影像表现
  • 5 肺磨玻璃密度影的诊断及鉴别
  • 6 正确判读支气管异常的CT征象

每日精选

  • 原发性纵隔胚胎性癌
    原发性纵隔胚胎性癌
    2023-01-12
  • 贲门失弛缓症、食管憩室影像表现
    贲门失弛缓症、食管憩室影像表现
    2023-01-12
  • 肺磨玻璃密度影的诊断及鉴别
    肺磨玻璃密度影的诊断及鉴别
    2023-01-12
  • 新冠肺炎典型影像学诊断与鉴别诊断
    新冠肺炎典型影像学诊断与鉴别诊断
    2023-01-10

猜你喜欢

胸内(纵隔)淋巴结分区速记
  • MRI乳腺扫描技术
  • 【病例】胸壁弹力纤维瘤1例CT影像表现
  • 如何在影像上判断新冠病毒肺部感染是否好转
  • HRCT树芽征的诊断价值
  • 【病例】矽肺1例CT影像表现

精彩图片

张力性纵隔气肿影像表现及严重度分级

张力性纵隔气肿影像表现及严重度分级

迅速增大的肺部结节,首先考虑良性,确诊需要肺穿

迅速增大的肺部结节,首先考虑良性,确诊需要肺穿

肺隔离症:易误诊为肺癌的占位性病变,肺穿刺禁忌!

肺隔离症:易误诊为肺癌的占位性病变,肺穿刺禁忌!

肺段与肺内管道应用解剖

肺段与肺内管道应用解剖


关于我们 广告服务 联系我们 网站地图 51LA统计

内容来自网络,如有侵权请联系我们。 Copyright @2009-2023 医学百科网 | YxBaike.Com

辽ICP备15019299号-3

辽公网安备 21028102000172号